叢生[乱ぐい、八重歯]
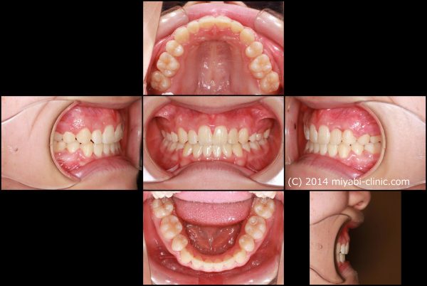
「 八重歯を 治してほしい」 21歳 女性 治療期間19か月(上下顎叢生)
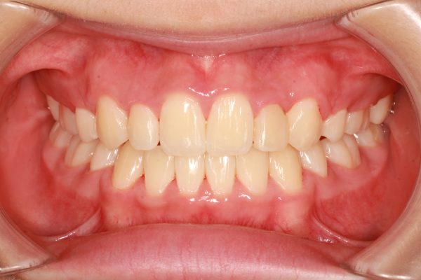
21歳の 女性です。
「 八重歯を 治してほしい 」との事で来院されました。
典型的な ”八重歯” の状態です。

犬歯(中心から3番目の歯)が外に飛び出しています。
この犬歯の影響で口内炎が絶えないのが悩みとの事です
これだけ出ていると唇が常に擦れますよね・・・ お辛いと思います

前歯 4本のうち、2本が 逆に噛んでいます
上の八重歯に目が行きがちですが、下の歯ならびも、乱れた状態ですね
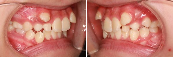
横から見ると

前歯が前方に傾斜しています。下の歯も前に傾斜していますね
犬歯も前歯と同じくらい前方に傾斜しています。
上下ともに 前歯が傾き、かなり出ている状態です
なぜでしょう?
歯の1本、1本が標準のサイズよりも大き過ぎるため、
ねじれて 重なり、外に押し出されているためです。

それにしても、歯みがきなどの歯のケアをしにくい状態ですね。
正常な歯ならびの状態より前歯が前に出ています。
このため、口もとが少し出ています。

”八重歯” の飛び出しもあり、自然に口を閉じることが出来ません。
レントゲン写真を見てみると、

上下の歯が 前方に傾斜して、前に押し出されています。窮屈な状態ですね
E-ラインからも下口唇が出ています。
お顔を見てみると、八重歯の影響で 口唇が非対称になっています。

(お顔の写真の使用にはご本人の承諾を頂いています)
正面から見た時の、口もと(鼻の下、下唇)の出っ張り感も気になります。
上唇よりも下唇の方が大きく見えてしまいます
口が閉じにくいですね
「口もとを スッキリ させたい」との事でした。
”八重歯” が 目立ちますね 典型的な状態ですね

(お顔の写真の使用にはご本人の承諾を頂いています)
スマイルラインが断絶してしまいますね
前歯の見た目が悪いので、歯を見せて笑いにくいとの事です。
口内炎の悩みからも解放されたい、
「 八重歯を キレイに治したい」との事です
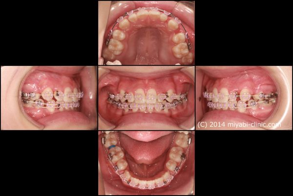
犬歯の唇側転位を伴う 上下顎叢生です

八重歯と 口もとを治すために上下顎左右の小臼歯抜歯を行い、前歯を整列しました。

2022年11月28日にスタートして 、2024年5月25日に 終 了 しました。

治療期間は19か月でした。
小臼歯の抜歯を行ったことで 犬歯の飛び出しが整い、
前歯は整列し八重歯はすっかりと解消しました。大きすぎた歯ならびが適正になりました。

上だけ注目されがちですが、下あごも前歯が整列し歯ならびが整いました。
また、前後的な距離が短くなり、適正な長さになりました。

上下の顎が適正な長さになった、この効果で上下の前歯が下がりました。

治療前後で前歯の傾斜、八重歯の飛び出しがかなり改善しました。
レントゲン写真で確認しても上下の前歯が下がり、

前に飛び出していた上の前歯の傾きが正常化しました。
上下の口唇も下がりました。

”八重歯”が解消したことで、口唇の非対称が解消しました。

自然に口が閉じられるようになりました。
口もと(鼻の下、下唇)の出っ張っている感じが解消しました。

下唇が下がったことで上下口唇の バランスが良くなりました。
スッキリとした印象のお顔になりました。

前歯の 段差、重なりが 解消し 前歯が 整いました
スマイルラインが整いました

前歯が キレイ に整い たいへんに満足され、喜ばれていました。
素敵な笑顔になりました! (#^.^#) 自信をもって思いっ切り笑ってください。
ありがたいことです。
21歳 女性 叢生を伴う 上下顎前突症 治療期間19か月 唇側矯正装置(ホワイトワイヤー)を使用した上下顎第一小臼歯抜歯治療 参考治療費 約67万円(消費税込み73万円) (精密検査から終了まで) 矯正治療に伴う副作用の歯肉退縮、知覚過敏、失活、歯根吸収などは認められませんでした。
投稿日 : 2024年12月15日(日)
カテゴリー : 叢生[乱ぐい、八重歯]
「 前歯、口もとを 治してほしい」 23歳 女性 治療期間22か月(上下顎前突症)
23歳の 女性です。
「 前歯の重なり、口もとを 治してほしい 」との事で来院されました。

前歯の重なりが 強い状態です。
前歯 4本のうち、2本が 反対になっています。

反対咬合の 傾向がある 症例です
前歯が前方に強く傾斜しています。
前歯の状態が 非常に気になるとの事でした。
横から見ると

上下ともに 前歯が傾き、かなり出ている状態です
なぜでしょう?
歯の1本、1本が標準のサイズよりも大き過ぎるため、ねじれて 重なり、
さらに 前に押し出されて 歯ならびが、前後に長くなっているためです。

通常より歯ならびが 前後に長い影響で、歯が前に出ています。
このため、口もとが出ています。

ここまで 口もとが出ていると、自然に口を閉じることが出来ません。
レントゲン写真を見てみると、

上下の歯が 前方に傾斜して、前に押し出されています。
E-ラインからも上下口唇が出てしまっています。
横顔を見てみると、
上下の口唇が 突出しています。歯によって唇が押し出されている影響です。
とくに下唇が 上唇よりも前に出てしまっています。
(お顔の写真の使用にはご本人の承諾を頂いています)
上下の口唇が前に出ているため、鼻が低く見えてしまいます。
もっさりとした「口もとを下げて欲しい」との事でした。
正面から見た時の、口もと(鼻の下、下唇)の出っ張り感も気になります。
口が閉じにくいですね
(お顔の写真の使用にはご本人の承諾を頂いています)
「口もとを スッキリ させたい」との事でした。
前歯の 段差や 重なりが 目立ちますね
(お顔の写真の使用にはご本人の承諾を頂いています)
反対に噛んでいる 歯がある影響で ”しゃくれ” ているようにも見えます
前歯の見た目が悪いので、歯を見せて笑いにくいとの事です。
「 前歯を キレイにしたい」との事です
叢生を伴う 上下顎前突症です

前歯の段差と 口もとを治すために上下顎左右の小臼歯抜歯を行い、前歯を後方に移動させました。

2022年1月29日にスタートして 、2024年1月13日に 終 了 しました。

治療期間は22か月でした。
小臼歯の抜歯を行ったことで 前歯が整い、上顎の前後的な距離が適正になりました。

上だけ注目されがちですが、下あごも前後的な距離が短くなり、適正な長さになりました。

上下の顎が適正な長さになった、この効果で上下の前歯が下がりました。

治療前後で前歯の傾斜がかなり改善しました。
レントゲン写真で確認しても上下の前歯は 大きく下がり、

前に飛び出していた上の前歯の傾きが正常化しました。
上下の口唇もかなり下がりました。

口もとの飛び出した感じもなくなり、鼻の下、下唇の形が整いました。
歯ならび が変化したことで、上下の口唇が大きく下がり、あごのラインが綺麗になりました。

口もと の出っ張り感が 解消され、自然に お口が閉じられるように なりました。

口もとが上下ともに下がった効果で、鼻が高くなったかのように見えますね。(実際の 鼻の高さは 変わりません)

”おとがい”の緊張感も解消し、口もとの ”もっさり感” が解消しました。

自然に口が閉じられるようになり、口もと(鼻の下、下唇)の出っ張っている感じが解消しました。

上下口唇の バランスが良くなりました。
口もとが 下がり、スッキリとした印象のお顔になりました。

前歯の 段差、重なりが 解消し 前歯が 整いました

前歯が キレイ に整い たいへんに満足され、喜ばれていました。
素敵な笑顔になりました! (#^.^#) 自信をもって思いっ切り笑ってください。
ありがたいことです。
23歳 女性 叢生を伴う 上下顎前突症 治療期間22か月 唇側矯正装置(ホワイトワイヤー)を使用した上下顎第一小臼歯抜歯治療 参考治療費 約67万円(消費税込み73万円) (精密検査から終了まで) 矯正治療に伴う副作用の歯肉退縮、知覚過敏、失活、歯根吸収などは認められませんでした。
投稿日 : 2024年07月09日(火)
カテゴリー : 叢生[乱ぐい、八重歯]
24歳 女性 「”八重歯” と 口もとを治してほしい」 20か月
24歳の 女性です。
「 ”八重歯” と 口もとを治して欲しい」との事で来院されました。

典型的な ”八重歯” の状態です。
上下の中心が少しズレています。

左右ともに2番目の歯が奥に入っていて、 ”八重歯” の状態です。

段差がかなり激しい状態なので、「 歯みがきが とても難しい 」そうです。
お顔の写真を見てみましょう。 典型的な八重歯ですね(2回目)。

(お顔の写真の使用にはご本人の承諾を頂いています)
「 ”八重歯” が気になって、人前で笑いにくい 」そうです
昭和の頃には ”八重歯が可愛い” とか良く分からない文化がありましたが、アレは何だったんでしょうね。
さて、本題に戻りましょう。
2番目の歯が裏に入っていますので、2番目の歯が影になってしまい、
不安感のある口もとになってしまいます。
また、スマイルラインも断絶してしまい、キレイなスマイルラインになりません。
この症例にはもう一つ問題点があります。
口もとが 少し出ています。 上下の唇が前に出ています。

(お顔の写真の使用にはご本人の承諾を頂いています)
”八重歯” なので口もとの 出かたとしては穏やかですが、やはり気になりますね。
(もし、八重歯じゃなかったら思いっ切り出ています)
「口もとをスッキリさせたい」そうです。
正面から見ても、上下の唇が出ています。
八重歯の影響は、口を閉じていても感じてしまいます。

(お顔の写真の使用にはご本人の承諾を頂いています)
八重歯なので、犬歯が飛び出していて、その飛び出し(八重歯)があるために、口唇(上の唇)が不均等に持ち上がってしまいます。
このため、”八重歯”の影響で唇の形が非対称になっています。
また、唇が持ち上がってしまいますので、口もとが 前に出て、 ”もっさり”とした印象を受けます。
「下げれるのであれば、口もとも下げてほしい」との事でした。
口もとが出ている原因は何でしょうか?

”八重歯” なのでだいぶ軽減されてはいますが、歯ならびが前後に長い状態です。
やはり、歯の大きさが関係しています。
このため、前歯が出ている状態です。

レントゲン写真を見てみましょう。

上下の前歯が前に傾いているのが分かると思います。

正中偏位と叢生を伴う 上下顎前突症 です。
八重歯、正中のズレ、口もとを治すために、

上下左右の小臼歯抜歯を行い、抜歯空隙に歯を移動、排列しました。
2020年9月30日にスタートして、2022年6月4日に終了しました。

治療期間は20か月でした。

2番目の歯は歯列内へならび、八重歯が解消しました。
正中のズレも解消することができました。

前歯の位置が明らかに後ろに下がり、歯ならびはコンパクトになりました。

”八重歯”が解消し、スマイルラインが整いました。

素敵な笑顔になりました! (#^.^#) 自信をもって人前で思いっ切り笑ってください。
さて、口もとはどうなったでしょうか?
前歯もある程度下がりました。

この効果で 上下の口唇状態が良好になりました。

とくに、上唇が期待した以上に下がりました。

上下の口唇がE-ラインの内側に下がり、鼻が高くなったようにも見えます。
八重歯が下がったことで、口唇を前に押し出す力が弱くなりました。

このため、上唇が下がりました。

”八重歯” が解消したことで 口唇は左右対称に改善されました。
口もとが出ていた感じが 修正され、口もとの ”ぼってり” とした雰囲気が改善しました。
すっきりとした印象になりました。
ありがたいことです。
24歳 女性 正中偏位と叢生を伴う 上下顎前突症 療期間20か月 唇側矯正装置(ホワイトワイヤー)を使用した上下顎第一小臼歯抜歯治療 参考治療費 約67万円(消費税込み73万円) (精密検査から終了まで) 矯正治療に伴う副作用の歯肉退縮、知覚過敏、失活、歯根吸収などは認められませんでした。
投稿日 : 2023年01月24日(火)
カテゴリー : 叢生[乱ぐい、八重歯]
26歳 女性「正中のズレ、”八重歯” を治してほしい」20か月( 叢生・過蓋咬合)
26歳の 女性です。
「 正中のズレ、”八重歯” を治して欲しい」との事で来院されました。

かなり激しい ”八重歯” の状態です。左側の2番目の歯は裏に入っています。

左右ともに ”八重歯” の状態です。上の歯が内側を向いて生えているのも特徴的です。
ご本人は「前歯の傾きや顔に対してのズレも気になる」との事でした。

上の前歯は、大きく左側に傾斜し、正中も左側に大きくズレています。
下の歯は逆に、正中が右側に大きくズレています。
上下の歯で考えると相当なズレが生じている状況です。

左側の2番目の歯が完全に裏に入っています。

このことが原因となり、正中が左側へ大きく傾き、ズレています。
ズレも気になりますが、前歯の傾きが大きいため、口元が歪んでいるように見えてしまいます。の
(お顔の写真の使用にはご本人の承諾を頂いています)
”八重歯”も気になるそうですが、「 前歯の傾きや中心のズレの方が治したい」そうです。

(お顔の写真の使用にはご本人の承諾を頂いています)
「何年も前から 傾きとズレ、”八重歯” が気になっていた」との事で、口を開けて笑いにくいそうです。
とにかく、改善できるのであれば改善してほしいとの事でした。
また、犬歯が飛び出していますので(八重歯なので)

前歯はそこまで出ていないのですが、犬歯が飛び出しています。

このため、上唇が前に押し出されています。

(お顔の写真の使用にはご本人の承諾を頂いています)
「上の唇が出ていると感じるので、下げてほしい」との事でした。
八重歯の影響は、口を閉じていても感じてしまいます。

(お顔の写真の使用にはご本人の承諾を頂いています)
犬歯の飛び出し(八重歯)があるために、口唇(上の唇)が不均等に持ち上がってしまいます。
このため、”八重歯”の影響で唇の形が非対称になっています。
また、唇が持ち上がってしまいますので、口もとが 前に出て、 ”もっさり”とした印象を受けます。
「下げれるのであれば、口もとも下げてほしい」との事でした。
正中偏位と叢生を伴う 過蓋咬合です。

正中のズレ、傾き、八重歯を治すために、
上下左右の小臼歯抜歯を行い、抜歯空隙に歯を移動、排列しました。

2020年11月26日にスタートして、2022年6月21日に終了しました。

治療期間は20か月でした。

前歯の傾き、ズレを解消することができました。

2番目の歯は歯列内へならび、八重歯が解消しました。正中も一致しました。
歯ならびはコンパクトになりました。

正中のズレ、そして前歯の傾きを綺麗に解消することができました。

”八重歯”が解消し、スマイルラインが整ったことで素敵な笑顔になりました。
八重歯が下がったことで、口唇を前に押し出す力がなくなりました。

このため、上の唇が下がりました。

上唇が下がったことで、口元のバランスが良くなりました。

”八重歯” が解消したことで 口唇は左右対称に改善されました。
上唇が 下がったことでバランスが整いすっきりとしました

口もとが出ていた感じが 修正され、口もとの ”ぼってり” とした雰囲気が改善しました。
すっきりとした印象になりました。
ありがたいことです。
26歳 女性 正中偏位、叢生を伴う 過蓋咬合 療期間20か月 唇側矯正装置(ホワイトワイヤー)を使用した上下顎第一小臼歯抜歯治療 参考治療費 約67万円(消費税込み73万円) (精密検査から終了まで) 矯正治療に伴う副作用の歯肉退縮、知覚過敏、失活、歯根吸収などは認められませんでした。
投稿日 : 2022年09月11日(日)
カテゴリー : 叢生[乱ぐい、八重歯]
12歳 女性「”八重歯”を 治して欲しい」15か月(上下顎叢生)
12歳の 女性です。
お母さん、ご本人より「 ”八重歯” を治して欲しい」との事で来院されました。

よくある ”八重歯” の状態です。

左右ともに ”八重歯” の状態です。

正面から 2番目の歯が 裏に入り込んでいます。
また、上下の前歯が前に傾いているために、口もとが少し出ています

レントゲン写真を見ても 上下の歯が前に傾斜しています。

”八重歯” の影響と 歯が傾いているために口もとが 前に出ています。

(お顔の写真の使用にはご本人と保護者の承諾を頂いています)
意識しないと 口を閉じられません。口もとが ”もっさり”とした印象を受けます。
2番目の歯が裏に入っていますので、”八重歯”感が強くなっています。
何年も前から ”八重歯” が気になっていた との事で、大きな口を開けて笑いにくいそうです。
( 1年ごとに経過観察に来院されていました。)

(お顔の写真の使用にはご本人と保護者の承諾を頂いています)
永久歯に交換して「ようやく 矯正治療が できる!」とご本人は喜んでいました。
側切歯の口蓋側転位を伴う 上下顎叢生です。

「とにかく ”八重歯” を治してほしい」との事で、
上下左右の小臼歯抜歯を行い、抜歯空隙に歯を移動、排列しました。

2021年2月26日にスタートして、2022年5月26日に終了しました。

治療期間は15か月でした。

2番目の歯は歯列内へ きれいにならびました。 歯ならびもコンパクトになりました。
上下前歯の傾きが緩やかになり、

上下口唇状態が良好になりました。

上唇と下唇が 下がったことでバランスが整いすっきりとしました

口もとが出ていた感じも 修正され、口もとの ”ぼってり” とした雰囲気が改善しました。

”八重歯” はすっかり 解消し、
お母さんにずいぶんと 喜んでいただけました。

素敵な笑顔になりました! (#^.^#)
ありがたいことです。
12歳 女性 側切歯の口蓋側転移を伴う 上下顎叢生 治療期間15か月 唇側矯正装置(ホワイトワイヤー)を使用した上下顎第一小臼歯抜歯治療 参考治療費 約67万円(消費税込み73万円) (精密検査から終了まで) 矯正治療に伴う副作用の歯肉退縮、知覚過敏、失活、歯根吸収などは認められませんでした。
投稿日 : 2022年07月18日(月)
カテゴリー : 叢生[乱ぐい、八重歯]
26歳 女性「八重歯、口もとを 治したい」( 叢生,上下顎前突症 )
26歳の 女性です。
「”八重歯” を治したい、口もとを 下げたい」との事で来院されました。

正面から見ると”八重歯”です。

前歯のとなりの 2番目の歯が後ろに入っています。
”八重歯” が気になって・・・ 人前で笑いにくいとの事です

(お顔の写真の使用にはご本人の承諾を頂いています)
”八重歯”がとにかく 気になりますが・・・

横からみると 上下の前歯が ずいぶんと前に出てしまっています。
レントゲン写真でみても 上下の前歯が前方に傾斜して、押し出されるように並んでいます

このため、上下の口唇が 出ています。

(お顔の写真の使用にはご本人の承諾を頂いています)
正面から見ると、口もとが出ています。”八重歯” の影響で唇が 非対称です。

(お顔の写真の使用にはご本人の承諾を頂いています)
このため、不機嫌そうな お顔に見えてしまいます。
口もとの出っ張り感 が気になるそうです。
また、口もとが 出ているために、お口が 閉じにくいそうです

叢生を伴う 上下顎前突症です
”八重歯”と 口もとの 出っ張り感を治したいとの事で
上下左右の 小臼歯抜歯を行い 前歯を後方に移動させました。

2020年の4月6日にスタートして 、2021年の4月27日に 終 了 しました。

治療期間は 14か月でした。

”八重歯”は すっかりと解消され、上顎の前後的な距離が短くなりました。

この効果で上下の前歯が下がりました。

矯正治療の結果、前歯は 大きく下がり、口もとの状態は改善しました。

口唇がずいぶんと下がり、エステティックラインの内側に収まりました

口もと の出っ張り感も 解消され、お口が閉じやすくなったとの事です。

おとがい(顎)の緊張感が改善しました。

全体的に”スッキリ”とした口もとになりました。

笑顔の印象も大きく 大きく変わりました

素敵な笑顔になりました! (#^.^#)
ありがたいことです。
26歳 女性 叢生を伴う 上下顎前突症 治療期間14か月 唇側矯正装置(ホワイトワイヤー)を使用した上下顎第一小臼歯抜歯治療 参考治療費 約67万円 (消費税込み73万円)(精密検査から終了まで) 矯正治療に伴う副作用の歯肉退縮、知覚過敏、失活、歯根吸収などは認められませんでした。
投稿日 : 2021年06月04日(金)
カテゴリー : 叢生[乱ぐい、八重歯]
24歳 女性 「前歯のズレ、八重歯を 治してほしい」 叢生
24歳の 女性です。
「 前歯のズレ、八重歯を 治してほしい」との事で来院されました。

”八重歯” の状態です。左上の2番目の歯が 裏に入っています。
前歯が重なり、左に傾いてています。
正面からだと 分かりにくいですが、

上の歯ならびの中心が 顎の中心と大きくズレています。

お顔の真中に 大きな歯が1本あるように 見えてしまいます

(お顔の写真の使用にはご本人の承諾を頂いています)
”八重歯” も気になりますが、お顔の正中と 歯の中心のズレが気になるそうです。
「歯ならびが 気になって 笑いにくい」との事でした。

レントゲン写真でみると 上の前歯が 押し出されるように前方に傾斜しています。

(お顔の写真の使用にはご本人の承諾を頂いています)
このため、正面から見ると、口もとが出ています。
口もとの出っ張り感 が気になるそうです。不機嫌そうな お顔に見えてしまいます。

叢生、正中偏位をともなう 上顎前突症です
正中のズレと ”八重歯” 、口もとの 出っ張り感を治したいとの事で

上下左右の 小臼歯抜歯を行い 前歯を後方に移動させました。
2019年の10月2日にスタートして 、2021年の4月21日に 終 了 しました。

治療期間は 19か月でした。

”八重歯”は すっかりと解消され、正中のズレは解消されました。

抜歯を行った効果で 上下の前歯が 大きく下がり、口もとの状態は改善しました。

口唇がずいぶんと下がりまりました。

口もと の出っ張り感も 解消され、お口が閉じやすくなったとの事です。
全体的に”スッキリ”とした口もとになりました。

笑顔の印象も大きく 大きく変わりました

素敵な笑顔になりました! (#^.^#)
ありがたいことです。
24歳 女性 正中偏位、叢生を伴う 上顎前突症 治療期間19か月 唇側矯正装置(ホワイトワイヤー)を使用した上下顎第一小臼歯抜歯治療 参考治療費 約67万円 (消費税込み73万円)(精密検査から終了まで) 矯正治療に伴う副作用の歯肉退縮、知覚過敏、失活、歯根吸収などは認められませんでした。
投稿日 : 2021年05月26日(水)
カテゴリー : 叢生[乱ぐい、八重歯]
13歳 女性「八重歯 を治したい」( 叢生 ・ 上下顎前突症 )
13歳の 女性です。
「”八重歯” を治してほしい」との事で来院されました。

典型的な ”八重歯”です。

犬歯が 歯列外に押し出されています。

レントゲン写真をみても 歯が入り乱れて生えています

(お顔の写真の使用にはご本人と保護者の承諾を頂いています)
何年も前から”八重歯”だったのですが、最近激しくなって来たそうで、心配になって来院されたとの事です。
お母さんはかなり心配されて、「きれいに 治りますか?」と聞かれました
”八重歯”がとにかく 気になりますが・・・

(お顔の写真の使用にはご本人の承諾を頂いています)
正面から見ると、口もとが出ています。”八重歯” の影響です。
口もとの”もっさり感”が目立ちますね。
このため、不機嫌そうな お顔に見えてしまいます。
横からみると 上下の口唇が 出ています。

(お顔の写真の使用にはご本人の承諾を頂いています)
とくに、下唇のめくれあがりが目立ちます。

叢生を伴う 上下顎前突症です
”八重歯”と 口もとの 出っ張り感を治したいとの事で
上下左右の 小臼歯抜歯を行い 前歯を後方に移動させました。

2019年の7月5日にスタートして 、2021年の2月15日に 終 了 しました。

治療期間は 20か月でした。

”八重歯”は すっかりと解消され、上顎の前後的な距離が短くなりました。

この効果で前歯は 下がり、口もとの状態は改善しました。

口唇がずいぶんと下がり、エステティックラインの内側に収まりました

口もと の出っ張り感も 解消され、お口が閉じやすくなったとの事です。

全体的に”スッキリ”とした口もとになりました。
下がっていた 口角が上がりました。

笑顔の印象も大きく 大きく変わりました

素敵な笑顔になりました!
お母さんにもずいぶんと 喜んで頂けました (#^.^#)
ありがたいことです。
13歳 女性 叢生を伴う 上下顎前突症 治療期間20か月 唇側矯正装置(ホワイトワイヤー)を使用した上下顎第一小臼歯抜歯治療 参考治療費 約67万円 (消費税込み73万円)(精密検査から終了まで) 矯正治療に伴う副作用の歯肉退縮、知覚過敏、失活、歯根吸収などは認められませんでした。
投稿日 : 2021年04月14日(水)
カテゴリー : 叢生[乱ぐい、八重歯]