上下顎前突症[口元のもっさり感]
「 出っ歯、口もとを 治してほしい」 22歳 女性 治療期間22か月(上下顎前突症)
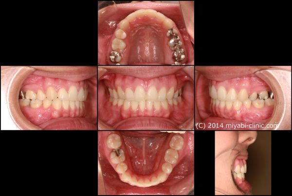
22歳の 女性です
「出っ歯、口もとを 治してほしい」との事で来院されました。

前歯が 出ています。 典型的な ”出っ歯” の状態です 少し段差もあります

前歯が 強く傾斜して、骨ごと 前に 出ています

上顎前突症(いわゆる 出っ歯)です

真横から 見るとよくわかりますね
原因は? 何故この状態に なったのでしょうか?

歯が 平均と比べて とても大きいこと、ご家族からの遺伝的要素(遺伝します)、
これらの原因が影響して 歯ならびを 悪化させています
横から お顔を 見てみると、

口もとが 出ていて、 アゴ がない 状態です
レントゲン写真を 見てみましょう

前歯が 強く傾斜していて、くちびるを押し出していることが分かります
口もとを 見てみましょう
上下の口唇が 前に強く出ています。歯によって 唇が押し出されている影響です。
(お顔の写真の使用にはご本人の承諾を頂いています)
上下の 口唇が前に出ているせいで、鼻が低く見えてしまいます。
「口もとを綺麗に 治してほしい」との事でした。
正面から見た時の、口もと(鼻の下、下唇)の出っ張り感も気になります。
(お顔の写真の使用にはご本人の承諾を頂いています)
口もとが 強く出ているため 自然に 口が 閉じられず、常に歯が見えています
上下の 口もとが 強く出ている状態が とても気になりますね。
「口もとを スッキリ させてほしい」とのことです。
前歯が 強く 飛び出しています
(お顔の写真の使用にはご本人の承諾を頂いています)
”出っ歯” 感が 気になりますね 前歯が出ていますね
「 ”出っ歯” を治して欲しい!」 との事
叢生を伴う 上顎前突症です

口もとの出っ張り、 前歯を下げるために上下顎左右の小臼歯抜歯を行い、前歯を後方に移動させました。

2023年9月6日にスタートして、2025年7月11日に終了しました。

治療期間は22か月でした。
抜歯を行ったことで、上顎の前後的な距離が適正になりました。

前歯が劇的に下がりました
同じように 下顎も前後的な距離が短くなり、適正な長さになりました。

上下歯列の長さが適正になった、この効果で上下の前歯が下がりました。

治療前後で前歯の傾斜がかなり改善しました。
レントゲン写真で確認しても上下の前歯は 大きく下がり、

前に出ていた上下の前歯の傾きが正常化しました。
上下の口唇もかなり下がりました。

口唇の飛び出した感じがなくなり、鼻の下、下唇の形が整いました。
治療途中で アゴが できた と喜んで頂けました (#^.^#)
歯ならび が変化したことで、上下の口唇が大きく下がり、あごのラインが綺麗になりました。

口もと の飛び出し感が 解消され、自然に お口が閉じられるように なりました。

口もとが上下ともに下がった効果で、鼻が高くなったかのように見えますね。(鼻の高さは変わりません)

”おとがい”の緊張感も解消し、口もとの ”もっさり感” が解消しました。
アゴの シワが完全に消失しました

自然に口が閉じられるようになり、口もと(鼻の下、下唇)の出っ張っている感じが解消しました。

口もとが 下がり、スッキリとした印象のお顔になりました。

前歯の 飛び出しが 解消し、”出っ歯” 感が解消しました。

前歯の出っ張りが解消し、スマイル ラインが整いました
”出っ歯” と 口もとが劇的に変化したことで、たいへんに喜ばれていました。
素敵な笑顔になりました! (#^.^#) これからの人生、自信をもって思いっ切り笑ってください。
ありがたいことです。
22歳女性 叢生を伴う 上顎前突症 治療期間22か月 唇側矯正装置(ホワイトワイヤー)を使用した上下顎第一小臼歯抜歯治療 参考治療費 約67万円(消費税込み73万円) (精密検査から終了まで) 矯正治療に伴う副作用の歯肉退縮、知覚過敏、失活、歯根吸収などは認められませんでした。
投稿日 : 2025年09月05日(金)
カテゴリー : 上下顎前突症[口元のもっさり感]
{他院からの再治療} 31歳 女性 「 口もと を 下げてほしい」治療期間23か月
31歳の 女性です
「口もとを 下げたい」との事で来院されました。
ぱっと見、歯ならびは良さそうに見えます

お話を 伺うと
この患者さんは 過去に矯正治療を受けたとがあるとの事でした。
今回、過去の矯正治療の やり直し(再治療)を希望されて来院されました。
元々の 歯ならびの状態は 軽い”八重歯”だったそうです。
以前の矯正治療で 「口もとが 治らなかったので」
再治療によって「口もとを 下げてほしい」とのことで来院されました

矯正治療後という事もあり、歯ならびはキレイですね。しっかりと 嚙み合っています。
ただ、前歯が出ていますねぇ…
横から見ると 良くわかります

前歯が かなり出ていて ”出っ歯” の状態です。
なぜでしょう?
もともとは ”八重歯”の状態だった歯ならびを、抜歯することなく並べていますので
歯ならびが広がり過ぎて 前後に長くなっています

歯の大きさも標準よりもかなり大きいですし、本来であれば抜歯が望ましい症例ですね。
抜歯が必要な 患者さんに 「抜かない矯正」を行ってしまったために
スペース不足になり、前に押し出されるように 歯がならんでいます

上下の 前歯がそれぞれ 出っ歯の状態で 前に出てしまっています。
このため、口もとが出ています

口が閉じにくいそうで、自然には口が閉じきれず歯が出ています。
また、あごが無いように 見えてしまいます
レントゲン写真を見てみると、

上下の歯が それぞれ前方に大きく傾斜して、前に押し出されています。
E-ラインからも上下口唇が出てしまっています。
横顔を見てみると、
上下の口唇が 突出しています。歯によって唇が押し出されている影響です

(お顔の写真の使用にはご本人の承諾を頂いています)
上下の口唇が前に出ているため、鼻が低く見えてしまいます。
もっさりとした「口もとを下げて欲しい」との事でした。
正面から見た時の、口もと(鼻の下、下唇)の出っ張り感も気になります。

(お顔の写真の使用にはご本人の承諾を頂いています)
自然に 口を閉じることが出来ません。 歯が見えていますね
「口ゴボを 直してほしい」との事でした。

(お顔の写真の使用にはご本人の承諾を頂いています)
前歯の傾きが強く、”出っ歯”の状態ですね。 前歯が目立ち過ぎています。
「前歯を下げて ”出っ歯”感も 治してほしい」との事です。
本来は 抜歯治療(永久歯を抜く)が必要な患者さんに「抜かない矯正」を行ってしまったためにスペース不足になり、上下の 前歯がそれぞれ 前に出て出っ歯の状態になっていました。
以前の治療前に きちんと分析をして、「永久歯を抜く」矯正治療を行っていれば、このような状況は避けられていたはずです。
「抜かない矯正」 というのは非常に耳障りが良いですし、魅力的に映ってしまいがちですね。
歯のならびや噛み合わせは大事です。しかし、口もとや顔だちの綺麗さも大事だと思いますね。
矯正治療前

口もとの出っ張りを治すために上下顎左右の小臼歯抜歯を行い、前歯を後方に移動させました。

2021年3月19日にスタートして 、2023年2月24日に 終 了 しました。

治療期間は23か月でした。
抜歯を行ったことで、前歯がしっかりと下がり、上顎の前後的な距離が適正になりました。

同じように 下あごも前後的な距離が短くなり、適正な長さになりました。

上下の顎が適正な長さになった、この効果で上下の前歯が下がりました。

治療前後で前歯の傾斜がかなり改善しました。
レントゲン写真で確認しても上下の前歯は 大きく下がり、

前に飛び出していた上下の前歯の傾きが正常化しました。
上下の口唇もかなり下がりました。

口もとの飛び出した感じもなくなり、鼻の下、下唇の形が整いました。
歯ならび が変化したことで、上下の口唇が大きく下がり、あごのラインが綺麗になりました。

口もと の出っ張り感が 解消され、自然に お口が閉じられるように なりました。

口もとが上下ともに下がった効果で、鼻が高くなったかのように見えますね。(鼻の高さは変わりません)

”おとがい”の緊張感も解消し、口もとの ”もっさり感” が解消しました。

自然に口が閉じられるようになり、口もと(鼻の下、下唇)の出っ張っている感じが解消しました。

口もとが 下がり、スッキリとした印象のお顔になりました。

前歯の傾きが修正され、”出っ歯” 感が解消しました。

前歯の”出っ歯”感が解消し、口もとが整いました
素敵な笑顔になりました! (#^.^#) 自信をもって思いっ切り笑ってください。
ありがたいことです。
31歳女性 叢生を伴う 上下顎前突症 治療期間23か月 唇側矯正装置(ホワイトワイヤー)を使用した上下顎第一小臼歯抜歯治療 参考治療費 約67万円(消費税込み73万円) (精密検査から終了まで) 矯正治療に伴う副作用の歯肉退縮、知覚過敏、失活、歯根吸収などは認められませんでした。
投稿日 : 2024年10月10日(木)
カテゴリー : 上下顎前突症[口元のもっさり感]
「 口もと を 下げてほしい」 36歳 男性 治療期間24か月(上下顎前突症)
36歳の 男性です。
「 前歯のねじれと、口もとを下げてほしい 」との事で来院されました。

前歯は大きくねじれ、すき間も空いています

この状態を 「翼状捻転」と言います(よくじょうねんてん)

「前歯の傾きとねじれ」が 非常に気になるとの事でした。
横から見ると

前歯が かなり出ていて ”出っ歯” の状態です。
翼状捻転のせいで 余計出ているように見えてしまいます
なぜでしょう?
歯の1本、1本が標準のサイズよりも大き過ぎるため、前に押し出されて 歯ならびが、前後に長くなっているためです。

通常よりかなり歯ならびが 前後に長い影響で、 ”出っ歯” になっていています。
歯が大きいため、前歯に強いねじれが生じています。
このため、口もとが出ています。

口が閉じにくいそうで、自然には口が閉じきれず歯が出ています。
レントゲン写真を見てみると、

上の歯が それぞれ前方に大きく傾斜して、前に押し出されています。
E-ラインからも上下口唇が出てしまっています。
横顔を見てみると、
上下の口唇が 突出しています。歯によって唇が押し出されている影響です。

(お顔の写真の使用にはご本人の承諾を頂いています)
上下の口唇が前に出ているため、鼻が低く見えてしまいます。
もっさりとした「口もとを下げて欲しい」との事でした。
正面から見た時の、口もと(鼻の下、下唇)の出っ張り感も気になります。

(お顔の写真の使用にはご本人の承諾を頂いています)
自然に 口を閉じることが出来ません
「口もとを下げたい、口もとを 直してほしい」との事でした。
前歯の ねじれが強く、歯のすき間も気になります

(お顔の写真の使用にはご本人の承諾を頂いています)
前歯のねじれ(翼状捻転)のせいで 歯を見せて笑いにくいとの事です。
「前歯の ねじれと 口もとを治してほしい」との事です。
翼状捻転を伴う 上下顎前突症です

口もとの出っ張り、と 前歯のねじれを治すために上下顎左右の小臼歯抜歯を行い、前歯を後方に移動させました。

2022年5月20日にスタートして 、2024年5月31日に 終 了 しました。

治療期間は24か月でした。
抜歯を行ったことで、前歯のねじれが整い、上顎の前後的な距離が適正になりました。
同じように 下あごも前後的な距離が短くなり、適正な長さになりました。

上下の顎が適正な長さになった、この効果で上下の前歯が下がりました。

治療前後で前歯の傾斜がかなり改善しました。
レントゲン写真で確認しても上下の前歯は 大きく下がり、

前に飛び出していた上下の前歯の傾きが正常化しました。
上下の口唇もかなり下がりました。

口もとの飛び出した感じもなくなり、鼻の下、下唇の形が整いました。
歯ならび が変化したことで、上下の口唇が大きく下がり、あごのラインが綺麗になりました。

口もと の出っ張り感が 解消され、自然に お口が閉じられるように なりました。

口もとが上下ともに下がった効果で、鼻が高くなったかのように見えますね。(鼻の高さは変わりません)

”おとがい”の緊張感も解消し、口もとの ”もっさり感” が解消しました。

自然に口が閉じられるようになり、口もと(鼻の下、下唇)の出っ張っている感じが解消しました。

口もとが 下がり、スッキリとした印象のお顔になりました。

前歯のねじれ(翼状捻転)が 解消し、ゆがみ が解消しました。
”出っ歯” 感も解消しました。

前歯のねじれが解消し、スマイル ラインが整いました
たいへんに満足され、喜ばれていました。
素敵な笑顔になりました! (#^.^#) 自信をもって思いっ切り笑ってください。
ありがたいことです。
36歳男性 叢生を伴う 上下顎前突症 治療期間24か月 唇側矯正装置(ホワイトワイヤー)を使用した上下顎第一小臼歯抜歯治療 参考治療費 約67万円(消費税込み73万円) (精密検査から終了まで) 矯正治療に伴う副作用の歯肉退縮、知覚過敏、失活、歯根吸収などは認められませんでした。
投稿日 : 2024年08月06日(火)
カテゴリー : 上下顎前突症[口元のもっさり感]
「 前歯、口もとを 治してほしい」 23歳 女性 治療期間22か月(上下顎前突症)
23歳の 女性です。
「 前歯の重なり、口もとを 治してほしい 」との事で来院されました。

前歯の重なりが 強い状態です。
前歯 4本のうち、2本が 反対になっています。

反対咬合の 傾向がある 症例です
前歯が前方に強く傾斜しています。
前歯の状態が 非常に気になるとの事でした。
横から見ると

上下ともに 前歯が傾き、かなり出ている状態です
なぜでしょう?
歯の1本、1本が標準のサイズよりも大き過ぎるため、ねじれて 重なり、
さらに 前に押し出されて 歯ならびが、前後に長くなっているためです。

通常より歯ならびが 前後に長い影響で、歯が前に出ています。
このため、口もとが出ています。

ここまで 口もとが出ていると、自然に口を閉じることが出来ません。
レントゲン写真を見てみると、

上下の歯が 前方に傾斜して、前に押し出されています。
E-ラインからも上下口唇が出てしまっています。
横顔を見てみると、
上下の口唇が 突出しています。歯によって唇が押し出されている影響です。
とくに下唇が 上唇よりも前に出てしまっています。
(お顔の写真の使用にはご本人の承諾を頂いています)
上下の口唇が前に出ているため、鼻が低く見えてしまいます。
もっさりとした「口もとを下げて欲しい」との事でした。
正面から見た時の、口もと(鼻の下、下唇)の出っ張り感も気になります。
口が閉じにくいですね
(お顔の写真の使用にはご本人の承諾を頂いています)
「口もとを スッキリ させたい」との事でした。
前歯の 段差や 重なりが 目立ちますね
(お顔の写真の使用にはご本人の承諾を頂いています)
反対に噛んでいる 歯がある影響で ”しゃくれ” ているようにも見えます
前歯の見た目が悪いので、歯を見せて笑いにくいとの事です。
「 前歯を キレイにしたい」との事です
叢生を伴う 上下顎前突症です

前歯の段差と 口もとを治すために上下顎左右の小臼歯抜歯を行い、前歯を後方に移動させました。

2022年1月29日にスタートして 、2024年1月13日に 終 了 しました。

治療期間は22か月でした。
小臼歯の抜歯を行ったことで 前歯が整い、上顎の前後的な距離が適正になりました。

上だけ注目されがちですが、下あごも前後的な距離が短くなり、適正な長さになりました。

上下の顎が適正な長さになった、この効果で上下の前歯が下がりました。

治療前後で前歯の傾斜がかなり改善しました。
レントゲン写真で確認しても上下の前歯は 大きく下がり、

前に飛び出していた上の前歯の傾きが正常化しました。
上下の口唇もかなり下がりました。

口もとの飛び出した感じもなくなり、鼻の下、下唇の形が整いました。
歯ならび が変化したことで、上下の口唇が大きく下がり、あごのラインが綺麗になりました。

口もと の出っ張り感が 解消され、自然に お口が閉じられるように なりました。

口もとが上下ともに下がった効果で、鼻が高くなったかのように見えますね。(実際の 鼻の高さは 変わりません)

”おとがい”の緊張感も解消し、口もとの ”もっさり感” が解消しました。

自然に口が閉じられるようになり、口もと(鼻の下、下唇)の出っ張っている感じが解消しました。

上下口唇の バランスが良くなりました。
口もとが 下がり、スッキリとした印象のお顔になりました。

前歯の 段差、重なりが 解消し 前歯が 整いました

前歯が キレイ に整い たいへんに満足され、喜ばれていました。
素敵な笑顔になりました! (#^.^#) 自信をもって思いっ切り笑ってください。
ありがたいことです。
23歳 女性 叢生を伴う 上下顎前突症 治療期間22か月 唇側矯正装置(ホワイトワイヤー)を使用した上下顎第一小臼歯抜歯治療 参考治療費 約67万円(消費税込み73万円) (精密検査から終了まで) 矯正治療に伴う副作用の歯肉退縮、知覚過敏、失活、歯根吸収などは認められませんでした。
投稿日 : 2024年07月09日(火)
カテゴリー : 上下顎前突症[口元のもっさり感]
「 出っ歯、口もと を 治してほしい」 19歳 女性 治療期間19か月(上下顎前突症)
19歳の 女性です。
「 出っ歯と、口もとを治してほしい 」との事で来院されました。

前歯は大きく傾き 大きな段差もあります。

右の前歯が 飛び出しています。

「前歯の傾きと出っ歯」が 非常に気になるとの事でした。
横から見ると

前歯が かなり出ていて ”出っ歯” の状態です。
ねじれがあるせいで 余計出ているように見えてしまいます
なぜでしょう?
歯の1本、1本が標準のサイズよりも大き過ぎるため、前に押し出されて 歯ならびが、前後に長くなっているためです。

通常よりかなり歯ならびが 前後に長い影響で、 ”出っ歯” になっていています。
歯が大きいため、前歯に段差が出来てしまいます。
このため、口もとが出ています。

口が閉じにくいそうで、自然には口が閉じきれず歯が出ています。
レントゲン写真を見てみると、

上の歯が それぞれ前方に大きく傾斜して、前に押し出されています。
E-ラインからも上下口唇が出てしまっています。
横顔を見てみると、
上下の口唇が 突出しています。歯によって唇が押し出されている影響です。

(お顔の写真の使用にはご本人の承諾を頂いています)
上下の口唇が前に出ているため、鼻が低く見えてしまいます。
もっさりとした「口もとを下げて欲しい」との事でした。
正面から見た時の、口もと(鼻の下、下唇)の出っ張り感も気になります。

(お顔の写真の使用にはご本人の承諾を頂いています)
前歯の傾きの影響で、口唇が非対称になっています。
「口もとを下げたい、口もとを 直してほしい」との事でした。
前歯の 傾きに、ねじれが強く、”出っ歯” になっています。

(お顔の写真の使用にはご本人の承諾を頂いています)
前歯の傾きによって、お顔が 非対称に見えてしまいます。
前歯が出ているので 歯を見せて笑いにくいとの事です。
「”出っ歯”と ゆがみを治してほしい」との事です。
叢生を伴う 上下顎前突症です

口もとの歪み、非対称と、”出っ歯”を治すために上下顎左右の小臼歯抜歯を行い、前歯を後方に移動させました。

2022年3月29日にスタートして 、2023年9月15日に 終 了 しました。

治療期間は19か月でした。
抜歯を行ったことで、前歯が整い、上顎の前後的な距離が適正になりました。

同じように 下あごも前後的な距離が短くなり、適正な長さになりました。

上下の顎が適正な長さになった、この効果で上下の前歯が下がりました。

治療前後で前歯の傾斜がかなり改善しました。
レントゲン写真で確認しても上下の前歯は 大きく下がり、

前に飛び出していた上下の前歯の傾きが正常化しました。
上下の口唇もかなり下がりました。

口もとの飛び出した感じもなくなり、鼻の下、下唇の形が整いました。
歯ならび が変化したことで、上下の口唇が大きく下がり、あごのラインが綺麗になりました。

口もと の出っ張り感が 解消され、自然に お口が閉じられるように なりました。

口もとが上下ともに下がった効果で、鼻が高くなったかのように見えますね。(鼻の高さは変わりません)

”おとがい”の緊張感も解消し、口もとの ”もっさり感” が解消しました。

自然に口が閉じられるようになり、口もと(鼻の下、下唇)の出っ張っている感じが解消しました。

前歯の傾きを原因とする 口唇の非対称は解消しました。
口もとが 下がり、スッキリとした印象のお顔になりました。

前歯のねじれが 解消し、ゆがみ が解消しました。
”出っ歯” 感も解消しました。

出っ歯と 口もとの ゆがみを気にされていましたので、たいへんに満足され、喜ばれていました。
素敵な笑顔になりました! (#^.^#) 自信をもって思いっ切り笑ってください。
ありがたいことです。
19歳 女性 叢生を伴う 上下顎前突症 治療期間22か月 唇側矯正装置(ホワイトワイヤー)を使用した上下顎第一小臼歯抜歯治療 参考治療費 約67万円(消費税込み73万円) (精密検査から終了まで) 矯正治療に伴う副作用の歯肉退縮、知覚過敏、失活、歯根吸収などは認められませんでした。
投稿日 : 2024年02月01日(木)
カテゴリー : 上下顎前突症[口元のもっさり感]
「 前歯、口もと を 治してほしい」 26歳 女性 治療期間22か月(上下顎前突症)
26歳の 女性です。
「 歯の ねじれと、口もとを治してほしい 」との事で来院されました。

前歯は中心から大きくズレて、ねじれています。

大きな段差もあります。

「前歯が斜めに生えている」ことが 非常に気になるとの事でした。
横から見ると

前歯が かなり出ていて ”出っ歯” の状態です。
ねじれがあるせいで 余計出ているように見えてしまいます
上下の歯は前に傾斜して、顎の骨ごと前に傾斜しています。
なぜでしょう?
歯の1本、1本が標準のサイズよりも大き過ぎるため、前に押し出されて 歯ならびが、前後に長くなっているためです。

通常よりかなり歯ならびが 前後に長い影響で、 ”出っ歯” になっていています。
歯が大きいため、前歯に段差が出来てしまいます。
このため、口もとが出ていて、あごが 無いように見えます。

かなり、口が閉じにくいそうで、口は閉じきれず歯が出ています。
レントゲン写真を見てみると、

上の歯が それぞれ前方に大きく傾斜して、前に押し出されています。
E-ラインからも上下口唇が出てしまっています。
横顔を見てみると、
上下の口唇が 突出しています。歯によって唇が押し出されている影響です。

(お顔の写真の使用にはご本人の承諾を頂いています)
上下の口唇が前に飛び出しているため、鼻が低く見えてしまいます。
もっさりとした「口もとを下げて欲しい」との事でした。
正面から見た時の、口もと(鼻の下、下唇)の出っ張り感も気になります。
(お顔の写真の使用にはご本人の承諾を頂いています)
力を入れないと、いつも歯が見えて口が閉じきれません。
前歯の傾きの影響で、口唇が非対称になっています。
「口もとを下げたい、口もとのゆがみを 直してほしい」との事でした。
前歯の 傾きに、ねじれが強く、”出っ歯” になっています。
(お顔の写真の使用にはご本人の承諾を頂いています)
前歯の強い傾きによって、お顔が 非対称に見えてしまいます。
写真よりも実際は前歯が出ている感じがあり、歯を見せて笑いにくいとの事です。
「ねじれ、ゆがみ、”出っ歯”を治してほしい」との事です。
叢生を伴う 上下顎前突症です

口もとの歪み、非対称と、”出っ歯”を治すために上下顎左右の小臼歯抜歯を行い、前歯を後方に移動させました。

2021年の11月22日にスタートして 、2023年の9月15日に 終 了 しました。

治療期間は22か月でした。
抜歯を行ったことで、前歯が下がり、上顎の前後的な距離が適正になりました。

同じように 下あごも前後的な距離が短くなり、適正な長さになりました。

上下の顎が適正な長さになった、この効果で上下の前歯が下がりました。

治療前後で前歯の傾斜がかなり改善しました。
レントゲン写真で確認しても上下の前歯は 大きく下がり、

前に飛び出していた上下の前歯の傾きが正常化しました。
上下の口唇もかなり下がりました。

口もとの飛び出した感じもなくなり、鼻の下、下唇の形が整いました。
歯ならび が変化したことで、口唇が大きく変化しました。
上下の口唇が大きく下がり、あごのラインが綺麗になりました。(あごが できました。)

口もと の出っ張り感が 解消され、自然に お口が閉じられるように なりました。

口もとが上下ともに下がった効果で、鼻が高くなったかのように見えますね。(鼻の高さは変わりません)

”おとがい”の緊張感も解消し、口もとの ”もっさり感” が解消しました。

自然に口が閉じられるようになり、口もと(鼻の下、下唇)の出っ張っている感じが解消しました。

前歯の傾きを原因とする 口唇の非対称は解消しました。
口もとが 下がり、”口ゴボ” ではなくなり、スッキリとした印象のお顔になりました。

前歯のねじれが 解消し、非対称性、ゆがみが解消しました。
前歯が大きく下がったことで、 ”出っ歯” 感も解消しました。

お顔自体が「ゆがんでいるように見える」と気にされていましたので、
たいへんに満足され、喜ばれていました。
素敵な笑顔になりました! (#^.^#) 自信をもって思いっ切り笑ってください。
ありがたいことです。
26歳 女性 叢生を伴う 上下顎前突症 治療期間22か月 唇側矯正装置(ホワイトワイヤー)を使用した上下顎第一小臼歯抜歯治療 参考治療費 約67万円(消費税込み73万円) (精密検査から終了まで) 矯正治療に伴う副作用の歯肉退縮、知覚過敏、失活、歯根吸収などは認められませんでした。
投稿日 : 2023年12月10日(日)
カテゴリー : 上下顎前突症[口元のもっさり感]
26歳 女性「 口ゴボ を治してほしい 」 22か月(上下顎前突症)
26歳の 女性です。
「 口ゴボ を治してほしい 」との事で来院されました。

前歯にねじれがあり、少し出ているように見えますね。
「前歯が斜めに生えている」ところも気になるとの事でした。
横から見ると

前歯が かなり出ています。 ”出っ歯” の状態です。
ねじれがあるせいで 余計出ているように見えてしまいます

上下の歯は前に傾斜して、顎の骨ごと前に傾斜しています。
なぜでしょう?
歯の1本、1本が標準のサイズよりも大き過ぎるため、前に押し出されて 歯ならびが、前後に長くなっているためです。

通常よりかなり歯ならびが 前後に長いです。
この影響で ”出っ歯” になっていています。
このため、口もとが出ていて、あごが 無いように見えます。

かなり、口が閉じにくいそうで、口は閉じきれず歯が出ています。
レントゲン写真を見てみると、

上の歯が それぞれ前方に大きく傾斜して、前に押し出されています。
E-ラインからも上下口唇が出てしまっています。
横顔を見てみると、
上下の口唇が 突出しています。歯によって唇が押し出されている影響です。
(お顔の写真の使用にはご本人の承諾を頂いています)
あごが 無い状態です。
上下の口唇が前に飛び出しているため、鼻が低く見えてしまいます。
典型的な ”口ゴボ” の状態ですね。 「口もとを下げて欲しい」との事でした。
正面から見た時の、口もとの出っ張り感も気になります。
(お顔の写真の使用にはご本人の承諾を頂いています)
力を入れないと、いつも歯が見えて口が閉じきれません。
前歯の傾きが 大きいため、口もと(鼻の下、下唇)が出っ張っています。
「口もとを下げたい、”口ゴボ”を 直してほしい」との事でした。
前歯の 傾きによって、”出っ歯” になっています。
(お顔の写真の使用にはご本人の承諾を頂いています)
写真よりも実際は前歯が出ている感じがあり、歯を見せて笑いにくいとの事です。
「”出っ歯”も治してほしい」との事です。前歯の段差や傾きも治してほしいとの事でした、
叢生を伴う 上下顎前突症です

”口ゴボ”と、”出っ歯”を治すために上下顎左右の小臼歯抜歯を行い、前歯を後方に移動させました。

2021年の7月12日にスタートして 、2023年の5月15日に 終 了 しました。

治療期間は22か月でした。
抜歯を行ったことで、前歯が下がり、上顎の前後的な距離が適正になりました。

同じように 下あごも前後的な距離が短くなり、適正な長さになりました。

上下の顎が適正な長さになった、この効果で上下の前歯が下がりました。

治療前後で前歯の傾斜がかなり改善しました。
レントゲン写真で確認しても上下の前歯は 大きく下がり、

前に飛び出していた上下の前歯の傾きが正常化しました。
上下の口唇もかなり下がりました。

口もとの飛び出した感じもなくなり、鼻の下、下唇の形が整いました。
歯ならび が変化したことで、口唇が大きく変化しました。

上下の口唇が大きく下がり、あごのラインが綺麗になりました。(あごが できました。)

口もと の出っ張り感が 解消され、自然に お口が閉じられるように なりました。

口もとが上下ともに下がった効果で、鼻が高くなったかのように見えますね。(鼻の高さは変わりません)

”おとがい”の緊張感も解消し、口もとの ”もっさり感” が解消しました。

自然に口が閉じられるようになり、

口もと(鼻の下、下唇)の出っ張っている感じが解消しました。
口もとが 下がり、”口ゴボ” ではなくなり、スッキリとした印象のお顔になりました。
ご本人もたいへんに満足され、喜ばれていました。
前歯が大きく下がったことで、 ”出っ歯” 感も解消し、

素敵な笑顔になりました! (#^.^#) 自信をもって思いっ切り笑ってください。
ありがたいことです。
26歳 女性 叢生を伴う 上下顎前突症 治療期間22か月 唇側矯正装置(ホワイトワイヤー)を使用した上下顎第一小臼歯抜歯治療 参考治療費 約67万円(消費税込み73万円) (精密検査から終了まで) 矯正治療に伴う副作用の歯肉退縮、知覚過敏、失活、歯根吸収などは認められませんでした。
投稿日 : 2023年10月04日(水)
カテゴリー : 上下顎前突症[口元のもっさり感]
30歳 女性「 口もとを 下げてほしい 」 24か月(上下顎前突症)
30歳の 女性です。
「 口もとを 下げてほしい 」との事で来院されました。

下の前歯に隙間があります。上下の前歯が噛んでいません。
「開咬症」(かいこう)と呼ばれる状態です。前歯で噛むことはできません。
この問題以外にも 口もとの問題があります。
横から見ると

前歯が かなり出ています。 ”出っ歯” の状態です。
上の前歯の 出方に目が行きがちですが、下の歯も前にせり出しています。

上下の歯は前に傾斜して、顎の骨ごと前に傾斜して出ています。
なぜでしょう?
今回の場合、原因は2つ考えられます。
1つ目は、歯の1本、1本が大き過ぎるため、前に押し出されて 歯ならびが、前後に長くなっていること。

2つ目は、下あごの隙間と前歯で噛んでいない(開咬)の状態の原因です。

この方は、舌で下の歯を習慣的に触って(押して)いました。
(治療と同時に舌のトレーニングも行います)
前歯にはっきりとした隙間があり、通常よりかなり歯ならびが 前後に長いです。
この影響で上下の前歯が ”出っ歯” になっていています。
このため、口もとが出ていて、あごが 無いように見えます。

下の歯の傾きが大きいために、受け口のような横顔のバランスです。

かなり、口が閉じにくいそうです。厳密にいうと口は閉じきれていません。
レントゲン写真を見てみると、

上の歯が それぞれ前方に大きく傾斜して、前に押し出されています。
E-ラインからも上下口唇が出てしまっています。
横顔を見てみると、
上下の口唇が 突出しています。とくに下唇の突出が激しい状態です。
歯によって唇が押し出されている影響です。

(お顔の写真の使用にはご本人の承諾を頂いています)
あごが 無い状態です。
上下の口唇が前に飛び出しているため、鼻が低く見えてしまいます。
典型的な ”口ゴボ” の状態ですね。 「口もとを下げて欲しい」との事でした。
正面から見た時の、口もとの出っ張り感も気になります。

(お顔の写真の使用にはご本人の承諾を頂いています)
力を入れないと、いつも歯が見えて口が閉じきれません。
力を入れて口を閉じているため、下あごに緊張感があります。
前歯の傾きが 大きいため、口もと(鼻の下、下唇)が出っ張っています。
「口もとを下げたい、”口ゴボ”を 直してほしい」との事でした。
前歯の 傾きによって、”出っ歯” になっています。

(お顔の写真の使用にはご本人の承諾を頂いています)
前歯の隙間、非対称感も目立ちますね。
写真よりも実際は前歯が出ている感じがあり、歯を見せて笑いにくいとの事です。
「”出っ歯”も治してほしい」との事です。
開咬を伴う 上下顎前突症です

”口ゴボ”と、開咬症を治すために上下顎左右の小臼歯抜歯を行い、前歯を後方に移動させました。

2021年の4月17日にスタートして 、2023年の4月24日に 終 了 しました。

治療期間は24か月でした。
抜歯を行ったことで、前歯が下がり、上顎の前後的な距離が適正になりました。

同じように 下あごも、抜歯の空隙に歯を移動することにより前後的な距離が短くなり、適正な長さになりました。

上下の顎が適正な長さになった、この効果で上下の前歯が下がりました。

治療前後で前歯の傾斜がかなり改善しました。
レントゲン写真で確認しても上下の前歯は 大きく下がり、

前に飛び出していた上下の前歯の傾きが正常化しました。
上下の口唇もかなり下がりました。

口もとの飛び出した感じもなくなり、鼻の下、下唇の形が整いました。
歯ならび が変化したことで、口唇が大きく変化しました。

上下の口唇が大きく下がり、あごのラインが綺麗になりました。(あごが できました。)

口もと の出っ張り感が 解消され、自然に お口が閉じられるように なりました。

口もとが上下ともに下がった効果で、鼻が高くなったかのように見えますね。(鼻の高さは変わりません)

”おとがい”の緊張感も解消し、口もとの ”もっさり感” が解消しました。

自然に口が閉じられるようになり、

口もと(鼻の下、下唇)の出っ張っている感じが解消しました。
口もとが 下がり、”口ゴボ” ではなくなり、スッキリとした印象のお顔になりました。

”出っ歯”感、前歯の隙間が解消しました。
開咬の状態が改善したことで、前歯でしっかりと噛めるようになりました。

ご本人もたいへんに満足され、喜ばれていました。
素敵な笑顔になりました! (#^.^#) 自信をもって思いっ切り笑ってください。
ありがたいことです。
30歳 女性 叢生を伴う 上下顎前突症 治療期間24か月 唇側矯正装置(ホワイトワイヤー)を使用した上下顎第一小臼歯抜歯治療 参考治療費 約67万円(消費税込み73万円) (精密検査から終了まで) 矯正治療に伴う副作用の歯肉退縮、知覚過敏、失活、歯根吸収などは認められませんでした。
投稿日 : 2023年08月08日(火)
カテゴリー : 上下顎前突症[口元のもっさり感]