反対咬合[受け口]
47歳 女性 「手術なしで 受け口を 治してほしい」(骨格的な要因を伴う 反対咬合)18か月
47歳の 女性です
「 手術しないで、受け口を 治してほしい 」との事で来院されました。
この方は、20代の時から受け口を治したくて、色々な歯科医院で相談をしていたそうです。
その度に、後ろ向きな説明をされ、
30年近く 矯正治療を諦めていたそうです。

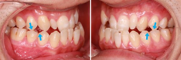
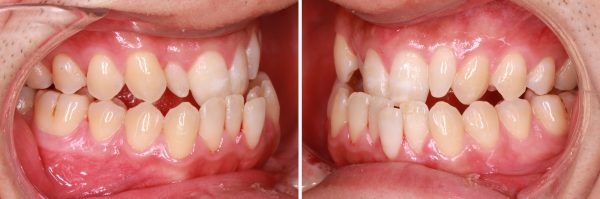
前歯を中心に、犬歯、小臼歯まで10本の歯が反対になっています。

下の歯ならびが 骨ごと前に出ています。
下あごの骨と上あごの骨のバランスが逆転しています。
まさに、”受け口”と言われる状況です。

前歯が反対になっているため、上唇や鼻が下がり過ぎ、下唇の方が 前に出ています。

骨格的な 反対咬合の状態です。

口唇のバランスが悪いために、横顔が凹んでいるように見えてしまいます。

(写真の使用にはご本人の承諾を頂いています)
”しゃくれている” 感じが強く、「歯が気になって、笑えない」との事です。

(写真の使用にはご本人の承諾を頂いています)
”しゃくれている” ため、滑舌が悪く、不明瞭な発音になりやすいです。
そのため、相手が聞き取りにくくコミュニケーションを苦手とする反対咬合の方も多いです。
30歳のころ、口腔外科で 矯正治療について聞いたところ、
「 矯正治療は 時間がかかるし、大変だから やめたほうが良い 」と言われ、
諦めたそうです。
それでもずっと諦められず、
40歳のころ、歯科医院で受け口が治るか聞いたところ、
「 手術しないと、治らない 」と言われ、
怖くなって 治療を断念したそうです。
47歳の時に、当院で矯正治療を受けている知人の紹介で、来院されました。
「矯正治療だけで 治せると思いますよ」と私が言ったのが、非常に嬉しかったそうです。
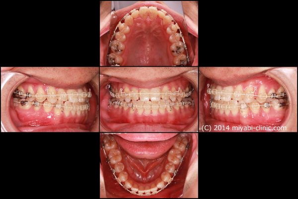
骨格的要因を伴う 反対咬合です

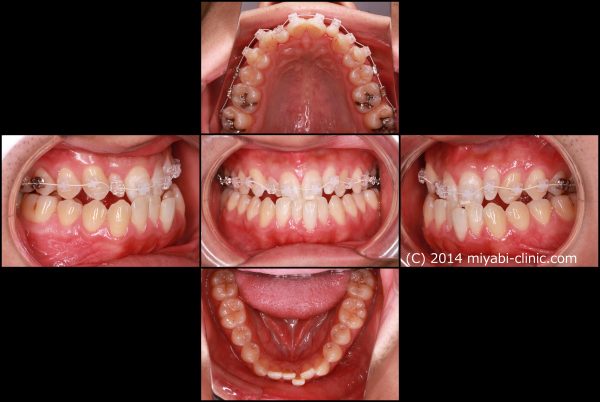
ホワイトワイヤーを使用した装置とエラスティックを使用して、
反対咬合の改善を図りました。

2021年4月20日にスタートして、2022年の9月27日に 終 了しました。

治療期間は18カ月でした。
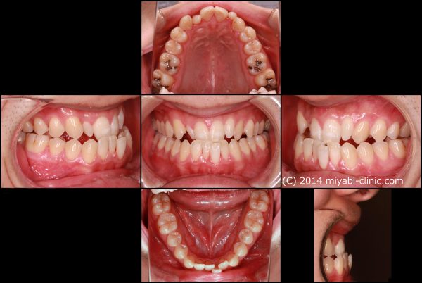
矯正治療の効果で、上顎が前に出たことで、反対咬合は治りました。

反対咬合が治ったことで、上唇が前に出て、

上下口唇のバランスが整いました。

受け口が改善したことで、口唇状態と横顔が変化しました。

横顔が 凹んだ状態は改善しました。

横顔が大きく変わり、整いました。
30年近く悩んでいた ”受け口” の状態が治り、

中顔面が陥凹して、”しゃくれ” ている状態は大きく改善しました。
しっかりと 笑えるようになりました。

素敵な 笑顔に なりました (#^.^#)
30年近く色々な歯科関係者に 治療はムリと言われて、
ずっと諦めていた歯ならびが 比較的短期間(18か月)に改善したことで、
「もっと早く来たかった。。。」と言われていました。
決して 遅くはありませんので、これから思いっきり歯を見せて笑って下さい。
ありがたいことです
47歳 女性 骨格的要因を伴う 反対咬合 治療期間18か月 唇側矯正装置(ホワイトワイヤー)を使用した非抜歯治療 参考治療費 約67万円(消費税込み73万円) (精密検査から終了まで) 矯正治療に伴う副作用の歯肉退縮、知覚過敏、失活、歯根吸収などは認められませんでした。
投稿日 : 2022年11月29日(火)
カテゴリー : 反対咬合[受け口]
16歳 男性「受け口を治したい」( 反対咬合 )
16歳の男性です。
「受け口を治したい」との事で来院されました。

上下の前歯が逆になっています。右上の犬歯は八重歯の状態です。

叢生を伴う 反対咬合(受け口)です。
小さい頃から受け口だったそうです。
反対の歯ならびが、 お顔の印象に良くない影響を与えています。

(お顔の写真の使用にはご本人の承諾を頂いています。)
お母さん ご本人ともにずっと気にされていたそうですが、今回思い切って 来院されました。
ご本人にとって 口もとが 大きな コンプレックスになっていたそうです。
受け口の治療としては遅い開始時期です。
このため、骨格的な不正も認められます。
ワイヤーとゴムを使用した治療により反対咬合を修正しました。

2017年の6月27日にスタートして 2018年の10月2日に 終了 しました。
治療期間 16か月

受け口は すっかりと治り 口もとも大きく変わりました

「自信がなさそうな 表情だった息子が自信をつけて すっかりと 男前になった」と
お母さまは とても喜んで頂けました。
素敵な笑顔になりました!(#^.^#)

これから大学に進学されるそうです。
自信あふれる 笑顔で 明るい青春をお過ごしください (*´▽`*)
16歳 男性 叢生を伴う反対咬合 治療期間16か月 唇側矯正装置(ホワイトワイヤー)拡大装置(ワイヤー型)非抜歯治療 参考治療費 約65万円 (精密検査から終了まで) 矯正治療に伴う副作用の歯肉退縮、知覚過敏、歯根吸収などは認められませんでした。
投稿日 : 2018年10月31日(水)
カテゴリー : 反対咬合[受け口]
19歳 女性「手術をしないで 受け口を治したい」( 骨格的な反対咬合 )
19歳の女性です。 「受け口を治したい」との事で来院されました。

お口の中を診てみますと。。。 前歯は反対咬合そして右も左も全ての歯が逆被蓋
う~ん・・・ 重度の反対咬合です。
骨格的な要因を有する反対咬合です
( お顔の写真の使用にはご本人の快諾を頂いています )
受け口の程度は非常に強く、骨の非対称、顎の偏位がある症例です

下顎の骨の長さもずいぶんと長いです
本当は 顎の骨を切る手術を伴う矯正治療が必要な症例です。
手術を併用する矯正治療を行う事で、
無理なくしっかりとした噛み合わせにすることが出来ますし、
受け口のお顔の雰囲気をガラリと変えることが出来ます。
そこで、手術を併用する矯正治療についての説明を行いました。

ご本人、親御さんとじっくりとお話をしましたところ
「手術はしたくない 」との事でした。
状況としましても、就職されたばかりで経済的にも仕事を覚えるためにも入院とかは出来ない
手術をしないで出来る限りのところまでで良いので治療して欲しいとの事でした。
ご本人や親御さんの強いご希望でした
手術をしないで噛み合わせの修正を行うことになりました。
矯正治療単独ですので お顔全体の雰囲気を変えることは出来ません。
治療結果にも限界があり、理想的には治らない事を説明してご理解を頂きました。
受け口を改善するために、上の顎を
機械的に広げるところから始めました。
その後、ワイヤーを用いて上下の歯並びのズレを改善しました。

治療期間 26か月 正直言って甘い仕上がりです。。
2015年の7月14日にスタートして2017年の9月13日に 治療 終了
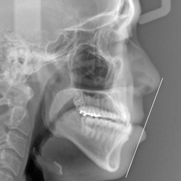
治療後のレントゲン写真です
ゴム掛けなどご本人のご協力もあり、受け口は綺麗に治りました。

骨格的なズレは治せませんでしたので理想的な仕上がりではありません。
仕上がりが甘い事を説明しましたがご本人やご家族はその変化にご満足されていました。

素敵な笑顔になりました! (#^.^#)
ありがたいことです。
19歳 女性 クロスバイトを伴う骨格性反対咬合 治療期間26か月 唇側矯正装置(ホワイトワイヤー) 急速拡大装置を使用した抜歯治療 参考治療費 約72万円 (精密検査から終了まで) 矯正治療に伴う副作用の歯肉退縮、知覚過敏、失活、歯根吸収などは認められませんでした。
投稿日 : 2017年10月10日(火)
カテゴリー : 反対咬合[受け口]
26歳 男性 「受け口を治したい」 ( 非抜歯 反対咬合 )
26歳の男性です 「受け口を治したい」との事で来院されました。

骨格的な要因を有する反対咬合です。
受け口の程度は比較的強く、難易度の高い症例です。
理想的には小児期に矯正治療により修正するべき症例です。
上の前歯に矮小歯(小さい歯)があるために、より反対の程度が大きくなっています。
お顔は上唇の張りが無く、下の唇も突出しています。

( お顔の写真の使用には患者さんの快諾を頂いています ♪ )
写真に写る時に笑顔で笑うのが苦手との事でした。
就職されたのを機に矯正治療を始めたいとの事でした。
ゴム掛けなどご本人の積極的なご協力もあり、

受け口は綺麗に治りました。 (*’▽’)
治療期間 20か月
2015年の11月13日にスタートして
2017年の 7月14日に終了しました
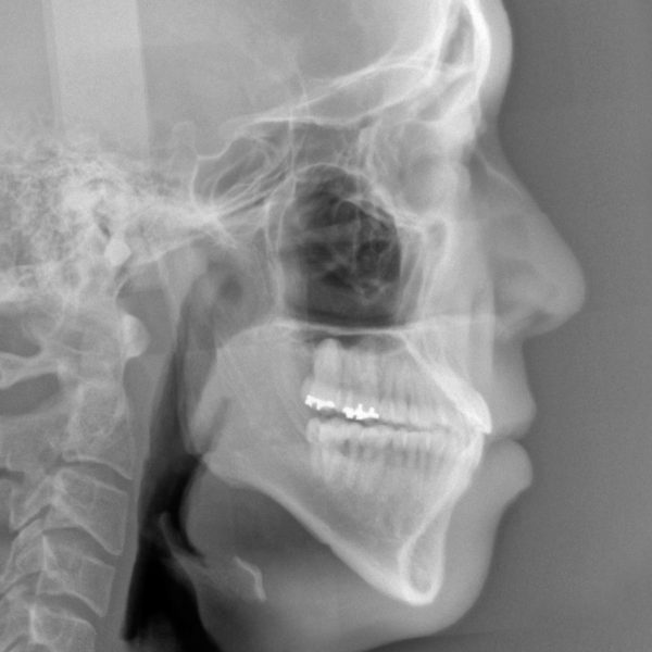
治療前のレントゲン写真です

治療後のレントゲン写真です


素敵な笑顔になりました! (#^.^#)
ご本人も自信を持って笑って頂けます。
ありがたいことです。
26歳 男性 叢生を伴う反対咬合 治療期間20か月 唇側矯正装置(ホワイトワイヤー) 拡大装置(ワイヤー型)を使用した非抜歯治療 参考治療費 約65万円 (精密検査から終了まで) 矯正治療に伴う副作用の歯肉退縮、知覚過敏、失活、歯根吸収などは認められませんでした。
投稿日 : 2017年07月22日(土)
カテゴリー : 反対咬合[受け口]
11歳 女性 「噛み合わせが反対で食事しにくい」( 前歯の欠損症例 )
11歳 女性です 「噛み合わせが反対で食事しにくい」との事で来院されました。

前歯部と側方歯の 反対咬合(受け口)です。
じっくりと確認してみますと、左上側切歯がありません。
欠損でしょうか? 埋伏歯でしょうか?
こういった場合は歯科用CTで確認します。

とりあえず骨の中での交通事故のような最悪の出来事は起きていませんでした
https://www.miyabi-clinic.com/appliance/ct
↑ 参考 ↑ 稀に生じる交通事故のような出来事
左上側切歯(前から2番目の歯)は先天的な欠損歯であることが判明しました。
先天欠損とクロスバイトを伴う反対咬合症例
わきの歯がほとんど噛み合っていませんので食事はしにくいです。
1本歯が欠損していると歯並びが成立しなくなります。
欠損している歯のスペースを開けてキチンと排列しました。

治療期間12か月
2016年の2月26日にスタートして
2017年の2月17日に終了しました。
反対咬合とクロスバイトは解消されました。 (#^.^#)
わきの歯はキッチリと噛み合いお食事がとても美味しくなったそうです。
欠損歯は将来的(成人してから)にインプラントなどの補綴処置を行う予定です。
現在は顎の成長に対応できるように暫間的な歯を装着しています。
スマイルラインが幅広くなり、素敵な笑顔になりました。 (#^.^#)
印象が全く違いますね
ありがたいことです。
11歳 女性 欠損歯を伴う反対咬合 治療期間12か月 唇側矯正装置(ホワイトワイヤー)を使用した非抜歯治療 参考治療費 約61万円 (精密検査から終了まで) 矯正治療に伴う副作用の歯肉退縮、知覚過敏、歯根吸収などは認められませんでした。
投稿日 : 2017年02月17日(金)
カテゴリー : 反対咬合[受け口]