施術紹介
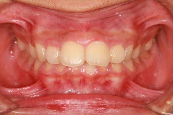
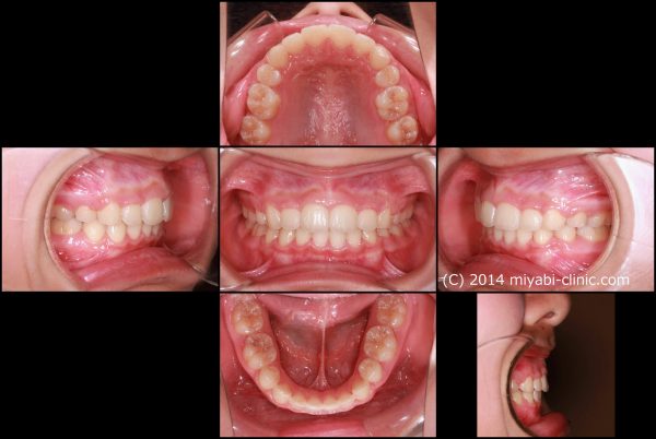
14歳 女性「 出っ歯、口もとを 治してほしい」治療期間21か月(上顎前突症)
14歳の 女性です
「出っ歯、口もとを 治してほしい」との事で来院されました。
同級生? が当院で 矯正治療を受けて、お顔がかなり 良い方向に変化したことを知り
親御さんが 「口もとを 何とかして欲しい」との事で来院されました

前歯が 飛び出しています。 典型的な ”出っ歯” の状態です

前歯 2本がより前に飛び出ていることが見た目をより悪くしています

前歯が 強く傾斜して、骨ごと 前に 出ています

上顎前突症(いわゆる 出っ歯)です
原因は? 何故この状態に なったのでしょうか? この方もよくあるパターンで・・

歯が 平均と比べて とても大きいこと、ご家族からの遺伝的要素(遺伝します)、
これらの原因が影響して 歯ならびを 悪化させています
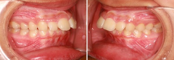
横から お顔を 見てみると、

口もとが 出ていて、 アゴ がない 状態です
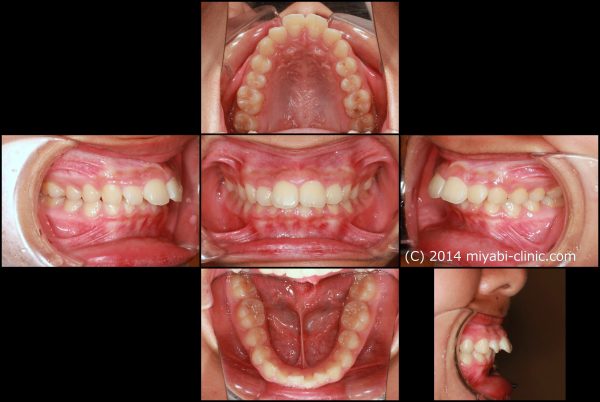
レントゲン写真を 見てみましょう

前歯は 強く傾斜していて、くちびるを押し出しいることが分かります
口もとを 見てみましょう
上下の口唇が 前に強く出ています。歯によって 唇が押し出されている影響です。

(お顔の写真の使用にはご本人と保護者の承諾を頂いています)
アゴが ない状態が 気になりますね これは何とか改善したいところですね・・・
また、上下の 口唇が前に出ているせいで、鼻が低く見えてしまいます。
親御さん、本人から「口もとを綺麗に 治してほしい」との事でした。
正面から見た時の、口もと(鼻の下、下唇)の出っ張り感も気になります。

(お顔の写真の使用にはご本人と保護者の承諾を頂いています)
口もとが 強く出ているため 不機嫌そうに見えてしまいますね
いわゆる ”口ゴボ” の状態ですね
ご本人は 「タラコくちびる」が嫌だとのことでしたが、
これが歯ならびの影響だという事を知らなかったそうです。
「口もとを スッキリ させてほしい」とのことです。
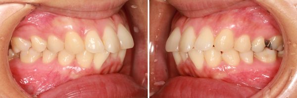
前歯が 強く 飛び出しています

(お顔の写真の使用にはご本人と保護者の承諾を頂いています)
”出っ歯” 感が 気になりますね
親御さんも 小さいころから気になっていたとの事で「 ”出っ歯” を治して欲しい!」 との事
叢生を伴う 上顎前突症です

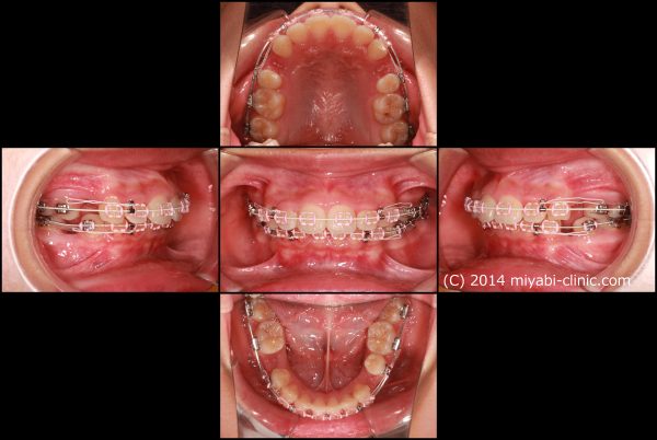
口もとの出っ張り、 前歯を下げるために上下顎左右の小臼歯抜歯を行い、前歯を後方に移動させました。

2023年10月20日にスタートして、2025年7月15日に終了しました。

治療期間は21か月でした。
抜歯を行ったことで、上顎の前後的な距離が適正になりました。

前歯が劇的に下がりましたね
同じように 下あごも前後的な距離が短くなり、適正な長さになりました。

上下歯列の長さが適正になった、この効果で上下の前歯が下がりました。

治療前後で前歯の傾斜がかなり改善しました。
レントゲン写真で確認しても上下の前歯は 大きく下がり、

前に飛び出していた上下の前歯の傾きが正常化しました。
上下の口唇もかなり下がりました。

口唇の飛び出した感じがなくなり、鼻の下、下唇の形が整いました。
治療途中で 「アゴが できた! 」と親御さんも喜んで頂けました (#^.^#)
歯ならび が変化したことで、上下の口唇が大きく下がり、あごのラインが綺麗になりました。

口もと の飛び出し感が 解消され、自然に お口が閉じられるように なりました。

口もとが上下ともに下がった効果で、鼻が高くなったかのように見えますね。(鼻の高さは変わりません)

口もとの ”もっさり感” が解消しました。

口もと(鼻の下、下唇)の出っ張っている感じが解消しました。
タラコくちびる が解消し ご本人は大変に喜ばれていました

口もとが 下がり、スッキリとした印象のお顔になりました。
治療開始から1年くらい経ったころ「顔が変わったね」と友達から言われた!と喜んでいただけました。

前歯の 飛び出しが 解消し、”出っ歯” 感が解消しました。

前歯の出っ張りが解消し、スマイル ラインが整いました
心配されていた 親御さんも、 ”出っ歯” と 口もとがキレイに治り、
さらにお顔が劇的に変化したことで、たいへんに喜ばれていました。
素敵な笑顔になりました! (#^.^#) これからの人生、自信をもって思いっ切り笑ってください。
ありがたいことです。
14歳女性 叢生を伴う 上顎前突症 治療期間21か月 唇側矯正装置(ホワイトワイヤー)を使用した上下顎第一小臼歯抜歯治療 参考治療費 約67万円(消費税込み73万円) (精密検査から終了まで) 矯正治療に伴う副作用の歯肉退縮、知覚過敏、失活、歯根吸収などは認められませんでした。
投稿日 : 2025年10月22日(水)
カテゴリー : 上顎前突症[出っ歯]
22歳 女性 「 出っ歯、口もとを 治してほしい」 治療期間22か月(上下顎前突症)
22歳の 女性です
「出っ歯、口もとを 治してほしい」との事で来院されました。

前歯が 出ています。 典型的な ”出っ歯” の状態です 少し段差もあります

前歯が 強く傾斜して、骨ごと 前に 出ています

上顎前突症(いわゆる 出っ歯)です

真横から 見るとよくわかりますね
原因は? 何故この状態に なったのでしょうか?

歯が 平均と比べて とても大きいこと、ご家族からの遺伝的要素(遺伝します)、
これらの原因が影響して 歯ならびを 悪化させています
横から お顔を 見てみると、

口もとが 出ていて、 アゴ がない 状態です
レントゲン写真を 見てみましょう

前歯が 強く傾斜していて、くちびるを押し出していることが分かります
口もとを 見てみましょう
上下の口唇が 前に強く出ています。歯によって 唇が押し出されている影響です。
(お顔の写真の使用にはご本人の承諾を頂いています)
上下の 口唇が前に出ているせいで、鼻が低く見えてしまいます。
「口もとを綺麗に 治してほしい」との事でした。
正面から見た時の、口もと(鼻の下、下唇)の出っ張り感も気になります。
(お顔の写真の使用にはご本人の承諾を頂いています)
口もとが 強く出ているため 自然に 口が 閉じられず、常に歯が見えています
上下の 口もとが 強く出ている状態が とても気になりますね。
「口もとを スッキリ させてほしい」とのことです。
前歯が 強く 飛び出しています
(お顔の写真の使用にはご本人の承諾を頂いています)
”出っ歯” 感が 気になりますね 前歯が出ていますね
「 ”出っ歯” を治して欲しい!」 との事
叢生を伴う 上顎前突症です

口もとの出っ張り、 前歯を下げるために上下顎左右の小臼歯抜歯を行い、前歯を後方に移動させました。

2023年9月6日にスタートして、2025年7月11日に終了しました。

治療期間は22か月でした。
抜歯を行ったことで、上顎の前後的な距離が適正になりました。

前歯が劇的に下がりました
同じように 下顎も前後的な距離が短くなり、適正な長さになりました。

上下歯列の長さが適正になった、この効果で上下の前歯が下がりました。

治療前後で前歯の傾斜がかなり改善しました。
レントゲン写真で確認しても上下の前歯は 大きく下がり、

前に出ていた上下の前歯の傾きが正常化しました。
上下の口唇もかなり下がりました。

口唇の飛び出した感じがなくなり、鼻の下、下唇の形が整いました。
治療途中で アゴが できた と喜んで頂けました (#^.^#)
歯ならび が変化したことで、上下の口唇が大きく下がり、あごのラインが綺麗になりました。

口もと の飛び出し感が 解消され、自然に お口が閉じられるように なりました。

口もとが上下ともに下がった効果で、鼻が高くなったかのように見えますね。(鼻の高さは変わりません)

”おとがい”の緊張感も解消し、口もとの ”もっさり感” が解消しました。
アゴの シワが完全に消失しました

自然に口が閉じられるようになり、口もと(鼻の下、下唇)の出っ張っている感じが解消しました。

口もとが 下がり、スッキリとした印象のお顔になりました。

前歯の 飛び出しが 解消し、”出っ歯” 感が解消しました。

前歯の出っ張りが解消し、スマイル ラインが整いました
”出っ歯” と 口もとが劇的に変化したことで、たいへんに喜ばれていました。
素敵な笑顔になりました! (#^.^#) これからの人生、自信をもって思いっ切り笑ってください。
ありがたいことです。
22歳女性 叢生を伴う 上顎前突症 治療期間22か月 唇側矯正装置(ホワイトワイヤー)を使用した上下顎第一小臼歯抜歯治療 参考治療費 約67万円(消費税込み73万円) (精密検査から終了まで) 矯正治療に伴う副作用の歯肉退縮、知覚過敏、失活、歯根吸収などは認められませんでした。
投稿日 : 2025年09月05日(金)
カテゴリー : 上下顎前突症[口元のもっさり感]
13歳 女性「 出っ歯、口もとを 治してほしい」治療期間22か月(上顎前突症)
13歳の 女性です
「出っ歯、口もとを 治してほしい」との事で来院されました。
親御さんが 「綺麗に治るのか」と大変心配されていました

前歯が 飛び出しています。 典型的な ”出っ歯” の状態です

前歯 2本がより前に飛び出ていることが見た目をより悪くしています

前歯が 強く傾斜して、骨ごと 前に 出ています

上顎前突症(いわゆる 出っ歯)です
原因は? 何故この状態に なったのでしょうか?

歯が 平均と比べて とても大きいこと、ご家族からの遺伝的要素(遺伝します)、
これらの原因が影響して 歯ならびを 悪化させています
横から お顔を 見てみると、

口もとが 出ていて、 アゴ がない 状態です
レントゲン写真を 見てみましょう

前歯は 強く傾斜していて、くちびるを押し出しいることが分かります
口もとを 見てみましょう
上下の口唇が 前に強く出ています。歯によって 唇が押し出されている影響です。

(お顔の写真の使用にはご本人と保護者の承諾を頂いています)
アゴが ない状態が 気になりますね
また、上下の 口唇が前に出ているせいで、鼻が低く見えてしまいます。
「口もとを綺麗に 治してほしい」との事でした。
正面から見た時の、口もと(鼻の下、下唇)の出っ張り感も気になります。

(お顔の写真の使用にはご本人と保護者の承諾を頂いています)
口もとが 強く出ているため 口が 閉じられず、常に歯が見えています
アゴの シワが とても気になりますね。
「口もとを スッキリ させてほしい」とのことです。
前歯が 強く 飛び出しています

(お顔の写真の使用にはご本人と保護者の承諾を頂いています)
”出っ歯” 感が 気になりますね
親御さんも 小さいころからずっと気になっていたとの事で
「とにかく ”出っ歯” を治して欲しい!」 との事
叢生を伴う 上顎前突症です

口もとの出っ張り、 前歯を下げるために上下顎左右の小臼歯抜歯を行い、前歯を後方に移動させました。

2023年7月15日にスタートして、2025年4月7日に終了しました。

治療期間は22か月でした。
抜歯を行ったことで、上顎の前後的な距離が適正になりました。

前歯が劇的に下がりましたね
同じように 下あごも前後的な距離が短くなり、適正な長さになりました。

上下歯列の長さが適正になった、この効果で上下の前歯が下がりました。

治療前後で前歯の傾斜がかなり改善しました。
レントゲン写真で確認しても上下の前歯は 大きく下がり、

前に飛び出していた上下の前歯の傾きが正常化しました。
上下の口唇もかなり下がりました。

口唇の飛び出した感じがなくなり、鼻の下、下唇の形が整いました。
治療途中で 「アゴが できた! 」と親御さんも喜んで頂けました (#^.^#)
歯ならび が変化したことで、上下の口唇が大きく下がり、あごのラインが綺麗になりました。

口もと の飛び出し感が 解消され、自然に お口が閉じられるように なりました。

口もとが上下ともに下がった効果で、鼻が高くなったかのように見えますね。(鼻の高さは変わりません)

”おとがい”の緊張感も解消し、口もとの ”もっさり感” が解消しました。
アゴの シワが完全に消失しました

自然に口が閉じられるようになり、口もと(鼻の下、下唇)の出っ張っている感じが解消しました。

口もとが 下がり、スッキリとした印象のお顔になりました。
治療開始から1年くらい経ったころ「顔が変わったね」と友達から言われた!と喜んでいただけました。

前歯の 飛び出しが 解消し、”出っ歯” 感が解消しました。

前歯の出っ張りが解消し、スマイル ラインが整いました
心配されていた 親御さんも、 ”出っ歯” と 口もとが劇的に変化したことで、たいへんに喜ばれていました。
素敵な笑顔になりました! (#^.^#) これからの人生、自信をもって思いっ切り笑ってください。
ありがたいことです。
13歳女性 叢生を伴う 上顎前突症 治療期間22か月 唇側矯正装置(ホワイトワイヤー)を使用した上下顎第一小臼歯抜歯治療 参考治療費 約67万円(消費税込み73万円) (精密検査から終了まで) 矯正治療に伴う副作用の歯肉退縮、知覚過敏、失活、歯根吸収などは認められませんでした。
投稿日 : 2025年06月29日(日)
カテゴリー : 上顎前突症[出っ歯]
噛めない!「 手術しないで治してほしい 」18歳 男性 骨格性開咬
18歳の 男性です
「 噛めないので、治してほしい 」との事で来院されました。
偶然、YouTubeを見ていただいて遠方(隣県)からお越し頂いたそうです
何件かの歯科医院で相談をされたそうですが、どこに行っても「手術をしないと治せない」と言われたそうです。
正面から見たところです。 こう見えても噛んでいる状態です。

奥歯は接触していますし、口を開けている訳ではありません。
とにかく 噛めないとの頃、この状態では全く噛めないです
開咬(かいこう)という状態ですね
どうやって食事をされているのか、とても不思議に感じます。
「ほとんど飲み込んでいる」とのことだそうで、胃腸に悪そうですねぇ

開咬の状態も気になりますが、下あごが前に出ています。
反対咬合(受け口)の状態にもなっています。
親知らずを除いて28本の歯の内、奥歯5本しか嚙み合っていません。
23本の歯が 宙に浮いている状態です

中学校ころから 空いてきたそうです
骨格的な 開咬の状態で、顎が下方向に 開いてしまっています。

本当はこのような状態になる前に、何とかしなければなりません。
口もとを 見てみましょう
横顔の写真からは判りにくいですが、骨格が開いている影響で 下顔面が縦に長くなっています。

(写真の使用にはご本人の承諾を頂いています)
口元が 開いていて、緩い印象を受けます(写真だと判りにくいですね)
正面からです。口が大きく開いていて、閉じられません
しっかりと噛み合わせてもらっている状態です

(写真の使用にはご本人の承諾を頂いています)
「噛めない」ので、「噛まない」、「噛まない」から、筋力が低下してさらに「噛めなくなる」
まさに、悪循環です。

(筋力低下と舌の癖による顎の骨の変形が見られます)
また、開いた歯の隙間に舌を入れることによって、さらに開いてきている状況です。
筋力の低下が著しく、口もとが緩んでいる印象を受けます。

(写真の使用にはご本人の承諾を頂いています)
噛む筋肉が弱いため、頬に力がありません。
お顔は 不自然に面長(おもなが)で、口もとが 緩い印象を受けます。
(年齢的にも頬に張りがなさすぎます)
表情に 力が入りません どこか力が無さそうな表情です
「手術しないで、噛めるように 治してほしい 」との事です。
色々な歯科医院で相談をしても、どこに行っても「手術しないとムリ」と言われて
偶然、YouTubeを見ていただいて遠方から(往復3時間)お越し頂いたそうです。
(1か月半に1度の通院大変だったと思います。お疲れ様でした)

矯正治療の開始です。 咀嚼筋のトレーニングも同時に行いました。
治療開始6か月です。歯が並んできました。ご本人の努力で 少し閉じてきたように思います。

治療開始 12か月です。筋肉のトレーニングとゴムかけの効果が出てきています。

ご本人の努力の賜物です。
2023年8月2日にスタートして、2025年3月31日に終了しました。

治療期間は20か月でした。
ご本人の 素晴らしい努力と忍耐により、想定していたよりも短期間で目的を達成することができました。

「完璧な仕上がりか?」と問われると「甘い仕上がりです」と言わざるを得ません。
しかし、これが限界でした(勿論 ご本人にへ説明、ご了承を頂いています)

レントゲン写真で確認すると、顎が閉じる方向に回転して 開咬が治っています。
写真からは 判りにくいですが、

下あごが閉じるように 変化しています。
下顔面の長さが短くなり、お顔のバランスが 整いました。

筋力が強化されたため、頬に張りがでました。 目にも力が入るようになりました。

不自然に面長(おもなが)な印象はなくなり、バランスのとれたお顔になりました。
表情にも豊かさが出ました
筋力が向上したことで、しっかりと、噛めるようになりました。

そして、しっかりと 笑えるようになりました。

ご本人の努力により、無事に手術なしで綺麗に治すことができました。
毎回、往復3時間を お祖父さまが運転されて来院されていました。
お孫さんのために本当に頭が下がる思いです。
ご本人、お祖父さまともに大変に満足されていて、ほっとしました。
ありがたいことです
18歳 男性 骨格的要因を伴う 開咬症・反対咬合 治療期間20か月 唇側矯正装置(ホワイトワイヤー)を使用した非抜歯治療 参考治療費 約67万円(消費税込み73万円) (精密検査から終了まで) 矯正治療に伴う副作用の歯肉退縮、知覚過敏、失活、歯根吸収などは認められませんでした。
投稿日 : 2025年05月07日(水)
カテゴリー : 開咬症[噛んでいない]
28歳 女性「 出っ歯、口もとを 治してほしい」治療期間30か月(重度の上顎前突症)
28歳の 女性です
「出っ歯、口もとを 治してほしい」との事で来院されました。

前歯が 飛び出しています。 典型的な ”出っ歯” の状態です

前歯 2本がより前に飛び出ていることが見た目をより悪くしています

前歯が 強く傾斜して、骨ごと 前に 出ています
小学生の時から 「ずっと嫌で、気になっていた」そうです

重度の 上顎前突症(いわゆる 出っ歯)です
原因は? 何故ここまでの状態に なったのでしょうか?

歯が 平均と比べて とても大きいこと、ご両親からの遺伝的要素、
そして、幼少期の 指吸い(指しゃぶり)による 歯列の変形
これらの原因が 複合的に影響して 歯ならびを 悪化させています
横から お顔を 見てみると、

口もとが 出ていて、 アゴ がない 状態です
レントゲン写真を 見てみましょう

前歯は 強く傾斜していて、くちびるを押していることが分かります
口もとを 見てみましょう
上下の口唇が 前に強く出ています。歯によって 唇が押し出されている影響です。

(お顔の写真の使用にはご本人の承諾を頂いています)
アゴが まったくない状態が 気になりますね
また、上下の 口唇が前に出ているせいで、鼻が低く見えてしまいます。
もっさりとした「口もとを下げて欲しい」との事でした。
正面から見た時の、口もと(鼻の下、下唇)の出っ張り感も気になります。

(お顔の写真の使用にはご本人の承諾を頂いています)
口もとが 強く出ているため、口が 閉じられません
アゴの シワも気になりますね
「口もとを スッキリ させてほしい」とのことです。
前歯が 強く 飛び出しています

(お顔の写真の使用にはご本人の承諾を頂いています)
”出っ歯” 感が 気になりますね
歯を見せることが 嫌なので なるべく歯を見せないようにしているそうです
「とにかく ”出っ歯” を治して欲しい!」 との事
叢生を伴う 重度の 上顎前突症です

口もとの出っ張り、 前歯を思いっ切り下げるために上下顎左右の小臼歯抜歯を行い、前歯を後方に移動させました。

2022年8月27日にスタートして 、2025年3月4日に 終 了 しました。

治療期間は30か月でした。
難症例だったため、通常よりも治療期間が長くなりました
抜歯を行ったことで、上顎の前後的な距離が適正になりました。

前歯が劇的に下がりましたね
同じように 下あごも前後的な距離が短くなり、適正な長さになりました。

上下歯列の長さが適正になった、この効果で上下の前歯が下がりました。

治療前後で前歯の傾斜がかなり改善しました。
レントゲン写真で確認しても上下の前歯は 大きく下がり、

前に飛び出していた上下の前歯の傾きが正常化しました。
上下の口唇もかなり下がりました。

口唇の飛び出した感じがなくなり、鼻の下、下唇の形が整いました。
治療途中で 「アゴが できました! 」と喜んで頂けました (#^.^#)
歯ならび が変化したことで、上下の口唇が大きく下がり、あごのラインが綺麗になりました。

口もと の飛び出し感が 解消され、自然に お口が閉じられるように なりました。

口もとが上下ともに下がった効果で、鼻が高くなったかのように見えますね。(鼻の高さは変わりません)

”おとがい”の緊張感も解消し、口もとの ”もっさり感” が解消しました。
アゴの シワが完全に消失しました

自然に口が閉じられるようになり、口もと(鼻の下、下唇)の出っ張っている感じが解消しました。

口もとが 下がり、スッキリとした印象のお顔になりました。

前歯の 飛び出しが 解消し、”出っ歯” 感が解消しました。

前歯の出っ張りが解消し、スマイル ラインが整いました
長年悩んでいた ”出っ歯” と 口もとが劇的に変化したことで、たいへんに喜ばれていました。
素敵な笑顔になりました! (#^.^#) これからの人生、自信をもって思いっ切り笑ってください。
ありがたいことです。
28歳女性 叢生を伴う 上顎前突症 治療期間30か月 唇側矯正装置(ホワイトワイヤー)を使用した上下顎第一小臼歯抜歯治療 参考治療費 約67万円(消費税込み73万円) (精密検査から終了まで) 矯正治療に伴う副作用の歯肉退縮、知覚過敏、失活、歯根吸収などは認められませんでした。
投稿日 : 2025年04月09日(水)
カテゴリー : 上顎前突症[出っ歯]
噛めない!「噛めるように してほしい」口もとを下げてほしい 19歳 女性 24か月(開咬症)
19歳の 女性です
「噛めるように してほしい」とのことで来院されました

正面から見たところです。 患者さんはこの状態で噛んでいます。(奥歯は当たっています)
噛んでいるのですが、前歯や側方歯は全く噛み合っていません

28本の歯のうち、奥歯2本しか噛んでいない状態です。
かかりつけの歯科医院で「手術の可能性が高い」と言われたそうです。
とにかく 噛めないとの頃、この状態では噛めないですよね
どうやって食事をされているのか、とても不思議に感じます。

舌で歯を触る悪い習癖、舌を噛む癖、開いた歯の隙間に舌を入れることによって、さらに開いてきている状況です。
「噛めない」ので、「噛まない」、「噛まない」から、筋力が低下してさらに「噛めなくなる」
まさに、悪循環です。

前歯は大きくねじれて(翼状捻転と言います) ”出っ歯” の状態にもなっています
「出っ歯の 状態も下げてほしい」とのことです。
横から見ると

前歯が かなり出ていて ”出っ歯” の状態です。
翼状捻転のせいで 余計出ているように見えてしまいます

通常よりかなり歯ならびが 前後に長い影響で、 ”出っ歯” になっていています。
歯が大きいため、前歯に強いねじれが生じています。
このため、口もとが出ています。

下唇の方が上唇よりも前に出ています。アゴがない状態になっています。
レントゲン写真を見てみると、

上の歯が それぞれ前方に大きく傾斜して、前に押し出されています。
また、骨格的な 開咬の状態で、顎が下方向に 開いてしまっています。
E-ラインからも上下口唇が出てしまっています。
横顔を見てみると、
上下の口唇が 突出しています。歯によって唇が押し出されている影響です。
(お顔の写真の使用にはご本人の承諾を頂いています)
上下の口唇が前に出ているため、鼻が低く見えてしまいます。
もっさりとした「口もとを下げて欲しい」との事でした。
正面から見た時の、口もと(鼻の下、下唇)の出っ張り感も気になります。
(お顔の写真の使用にはご本人の承諾を頂いています)
自然に 口を閉じることが出来ません
アゴのシワも 何とかしたいですね
「口もとも気になるので、口もとを 直してほしい」との事でした。
前歯の ねじれが強く、 ”出っ歯” の状態が強いですね
(お顔の写真の使用にはご本人の承諾を頂いています)
前歯は噛み合っていませんので、不自然な隙間が空いてしまっています(写真では判りにくいですね)。
「前歯の ねじれも 治してほしい」との事です。

叢生、上顎前歯の前突を伴う 開咬症です
開咬状態と 前突(出っ歯)を治すために上下顎左右の小臼歯抜歯を行い、前歯を後方に移動させました。

2022年12月26日にスタートして 、2024年12月10日に 終 了 しました。

治療期間は24か月でした。

開咬状態は改善され、上下の歯がしっかりと噛み合いました

抜歯を行ったことで、上顎の前後的な距離が適正になりました。
ねじれ(翼状捻転)も治りました

同じように 下あごも前後的な距離が短くなり、適正な長さになりました。

上下の顎が適正な長さになった、この効果で上下の前歯が下がりました。
前歯、側方歯がしっかりと嚙み合いました
治療前後で前歯の傾斜がかなり改善しました。
レントゲン写真で確認しても上下の前歯は 大きく下がり、

前に飛び出していた上下の前歯の傾きが正常化しました。
上下の口唇もかなり下がりました。

口もとの飛び出した感じもなくなり、鼻の下、下唇の形が整いました。
歯ならび が変化したことで、上下の口唇が大きく下がり、あごのラインが綺麗になりました。

口もと の出っ張り感が 解消され、自然に お口が閉じられるように なりました。

口もとが上下ともに下がった効果で、鼻が高くなったかのように見えますね。(鼻の高さは変わりません)

”おとがい”の緊張感も解消し、口もとの ”もっさり感” が解消しました。

自然に口が閉じられるようになり、口もと(鼻の下、下唇)の出っ張っている感じが解消しました。

アゴの シワもすっかりと消え、スッキリとした印象のお顔になりました。

前歯のねじれ(翼状捻転)が 解消し、”出っ歯” 感も解消しました。

スマイル ラインが整いました
素敵な笑顔になりました! (#^.^#) 自信をもって思いっ切り笑ってください。
ありがたいことです。
19歳 女性 叢生、上顎前歯の前突を伴う 開咬症です 治療期間24か月 唇側矯正装置(ホワイトワイヤー)を使用した上下顎第一小臼歯抜歯治療 参考治療費 約67万円(消費税込み73万円) (精密検査から終了まで) 矯正治療に伴う副作用の歯肉退縮、知覚過敏、失活、歯根吸収などは認められませんでした。
投稿日 : 2025年02月21日(金)
カテゴリー : 開咬症[噛んでいない]
「 八重歯を 治してほしい」 21歳 女性 治療期間19か月(上下顎叢生)
21歳の 女性です。
「 八重歯を 治してほしい 」との事で来院されました。
典型的な ”八重歯” の状態です。

犬歯(中心から3番目の歯)が外に飛び出しています。
この犬歯の影響で口内炎が絶えないのが悩みとの事です
これだけ出ていると唇が常に擦れますよね・・・ お辛いと思います

前歯 4本のうち、2本が 逆に噛んでいます
上の八重歯に目が行きがちですが、下の歯ならびも、乱れた状態ですね
横から見ると

前歯が前方に傾斜しています。下の歯も前に傾斜していますね
犬歯も前歯と同じくらい前方に傾斜しています。
上下ともに 前歯が傾き、かなり出ている状態です
なぜでしょう?
歯の1本、1本が標準のサイズよりも大き過ぎるため、
ねじれて 重なり、外に押し出されているためです。

それにしても、歯みがきなどの歯のケアをしにくい状態ですね。
正常な歯ならびの状態より前歯が前に出ています。
このため、口もとが少し出ています。

”八重歯” の飛び出しもあり、自然に口を閉じることが出来ません。
レントゲン写真を見てみると、

上下の歯が 前方に傾斜して、前に押し出されています。窮屈な状態ですね
E-ラインからも下口唇が出ています。
お顔を見てみると、八重歯の影響で 口唇が非対称になっています。

(お顔の写真の使用にはご本人の承諾を頂いています)
正面から見た時の、口もと(鼻の下、下唇)の出っ張り感も気になります。
上唇よりも下唇の方が大きく見えてしまいます
口が閉じにくいですね
「口もとを スッキリ させたい」との事でした。
”八重歯” が 目立ちますね 典型的な状態ですね

(お顔の写真の使用にはご本人の承諾を頂いています)
スマイルラインが断絶してしまいますね
前歯の見た目が悪いので、歯を見せて笑いにくいとの事です。
口内炎の悩みからも解放されたい、
「 八重歯を キレイに治したい」との事です
犬歯の唇側転位を伴う 上下顎叢生です

八重歯と 口もとを治すために上下顎左右の小臼歯抜歯を行い、前歯を整列しました。

2022年11月28日にスタートして 、2024年5月25日に 終 了 しました。

治療期間は19か月でした。
小臼歯の抜歯を行ったことで 犬歯の飛び出しが整い、
前歯は整列し八重歯はすっかりと解消しました。大きすぎた歯ならびが適正になりました。

上だけ注目されがちですが、下あごも前歯が整列し歯ならびが整いました。
また、前後的な距離が短くなり、適正な長さになりました。

上下の顎が適正な長さになった、この効果で上下の前歯が下がりました。

治療前後で前歯の傾斜、八重歯の飛び出しがかなり改善しました。
レントゲン写真で確認しても上下の前歯が下がり、

前に飛び出していた上の前歯の傾きが正常化しました。
上下の口唇も下がりました。

”八重歯”が解消したことで、口唇の非対称が解消しました。

自然に口が閉じられるようになりました。
口もと(鼻の下、下唇)の出っ張っている感じが解消しました。

下唇が下がったことで上下口唇の バランスが良くなりました。
スッキリとした印象のお顔になりました。

前歯の 段差、重なりが 解消し 前歯が 整いました
スマイルラインが整いました

前歯が キレイ に整い たいへんに満足され、喜ばれていました。
素敵な笑顔になりました! (#^.^#) 自信をもって思いっ切り笑ってください。
ありがたいことです。
21歳 女性 叢生を伴う 上下顎前突症 治療期間19か月 唇側矯正装置(ホワイトワイヤー)を使用した上下顎第一小臼歯抜歯治療 参考治療費 約67万円(消費税込み73万円) (精密検査から終了まで) 矯正治療に伴う副作用の歯肉退縮、知覚過敏、失活、歯根吸収などは認められませんでした。
投稿日 : 2024年12月15日(日)
カテゴリー : 叢生[乱ぐい、八重歯]
{他院からの再治療} 31歳 女性 「 口もと を 下げてほしい」治療期間23か月
31歳の 女性です
「口もとを 下げたい」との事で来院されました。
ぱっと見、歯ならびは良さそうに見えます

お話を 伺うと
この患者さんは 過去に矯正治療を受けたとがあるとの事でした。
今回、過去の矯正治療の やり直し(再治療)を希望されて来院されました。
元々の 歯ならびの状態は 軽い”八重歯”だったそうです。
以前の矯正治療で 「口もとが 治らなかったので」
再治療によって「口もとを 下げてほしい」とのことで来院されました

矯正治療後という事もあり、歯ならびはキレイですね。しっかりと 嚙み合っています。
ただ、前歯が出ていますねぇ…
横から見ると 良くわかります

前歯が かなり出ていて ”出っ歯” の状態です。
なぜでしょう?
もともとは ”八重歯”の状態だった歯ならびを、抜歯することなく並べていますので
歯ならびが広がり過ぎて 前後に長くなっています

歯の大きさも標準よりもかなり大きいですし、本来であれば抜歯が望ましい症例ですね。
抜歯が必要な 患者さんに 「抜かない矯正」を行ってしまったために
スペース不足になり、前に押し出されるように 歯がならんでいます

上下の 前歯がそれぞれ 出っ歯の状態で 前に出てしまっています。
このため、口もとが出ています

口が閉じにくいそうで、自然には口が閉じきれず歯が出ています。
また、あごが無いように 見えてしまいます
レントゲン写真を見てみると、

上下の歯が それぞれ前方に大きく傾斜して、前に押し出されています。
E-ラインからも上下口唇が出てしまっています。
横顔を見てみると、
上下の口唇が 突出しています。歯によって唇が押し出されている影響です

(お顔の写真の使用にはご本人の承諾を頂いています)
上下の口唇が前に出ているため、鼻が低く見えてしまいます。
もっさりとした「口もとを下げて欲しい」との事でした。
正面から見た時の、口もと(鼻の下、下唇)の出っ張り感も気になります。

(お顔の写真の使用にはご本人の承諾を頂いています)
自然に 口を閉じることが出来ません。 歯が見えていますね
「口ゴボを 直してほしい」との事でした。

(お顔の写真の使用にはご本人の承諾を頂いています)
前歯の傾きが強く、”出っ歯”の状態ですね。 前歯が目立ち過ぎています。
「前歯を下げて ”出っ歯”感も 治してほしい」との事です。
本来は 抜歯治療(永久歯を抜く)が必要な患者さんに「抜かない矯正」を行ってしまったためにスペース不足になり、上下の 前歯がそれぞれ 前に出て出っ歯の状態になっていました。
以前の治療前に きちんと分析をして、「永久歯を抜く」矯正治療を行っていれば、このような状況は避けられていたはずです。
「抜かない矯正」 というのは非常に耳障りが良いですし、魅力的に映ってしまいがちですね。
歯のならびや噛み合わせは大事です。しかし、口もとや顔だちの綺麗さも大事だと思いますね。
矯正治療前

口もとの出っ張りを治すために上下顎左右の小臼歯抜歯を行い、前歯を後方に移動させました。

2021年3月19日にスタートして 、2023年2月24日に 終 了 しました。

治療期間は23か月でした。
抜歯を行ったことで、前歯がしっかりと下がり、上顎の前後的な距離が適正になりました。

同じように 下あごも前後的な距離が短くなり、適正な長さになりました。

上下の顎が適正な長さになった、この効果で上下の前歯が下がりました。

治療前後で前歯の傾斜がかなり改善しました。
レントゲン写真で確認しても上下の前歯は 大きく下がり、

前に飛び出していた上下の前歯の傾きが正常化しました。
上下の口唇もかなり下がりました。

口もとの飛び出した感じもなくなり、鼻の下、下唇の形が整いました。
歯ならび が変化したことで、上下の口唇が大きく下がり、あごのラインが綺麗になりました。

口もと の出っ張り感が 解消され、自然に お口が閉じられるように なりました。

口もとが上下ともに下がった効果で、鼻が高くなったかのように見えますね。(鼻の高さは変わりません)

”おとがい”の緊張感も解消し、口もとの ”もっさり感” が解消しました。

自然に口が閉じられるようになり、口もと(鼻の下、下唇)の出っ張っている感じが解消しました。

口もとが 下がり、スッキリとした印象のお顔になりました。

前歯の傾きが修正され、”出っ歯” 感が解消しました。

前歯の”出っ歯”感が解消し、口もとが整いました
素敵な笑顔になりました! (#^.^#) 自信をもって思いっ切り笑ってください。
ありがたいことです。
31歳女性 叢生を伴う 上下顎前突症 治療期間23か月 唇側矯正装置(ホワイトワイヤー)を使用した上下顎第一小臼歯抜歯治療 参考治療費 約67万円(消費税込み73万円) (精密検査から終了まで) 矯正治療に伴う副作用の歯肉退縮、知覚過敏、失活、歯根吸収などは認められませんでした。
投稿日 : 2024年10月10日(木)
カテゴリー : 上下顎前突症[口元のもっさり感]