上顎前突症[出っ歯]
22歳 男性「 口もとを下げたい 」( 空隙・上顎前突症 )
22歳の 男性です。
「 前歯のすき間を閉じたい、口もとを 下げたい 」との事で来院されました。
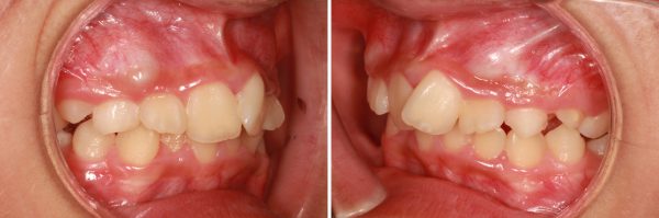
前歯に大きな ”すき間” が開いています。
すき間はかなり大きく、捻じれているため余計に目立ちます。
前歯のすき間が気になって 笑いにくいそうです。
(お顔の写真の使用にはご本人の承諾を頂いています)
前歯の すき間のほかにも 気になることがあるとの事です。
口もとが出ているのが気になるそうです。
横からみると 上下の前歯が出ています。
この影響で 口もとが出ています。
上下の口唇が 前に出てしまっています。
この横顔の 原因は 歯です(歯ならび)
歯ならびは縦に長く 形も尖っています。
レントゲン写真で見ると 上下の前歯が 前方に傾斜して、押し出されています
前歯の傾きが 大きいため、口もとが出っ張っています。
(お顔の写真の使用にはご本人の承諾を頂いています)
口もとの ”もっさり” とした感じを 「何とかしたい」との事でした。
お口を閉じにくいそうです。
横顔をみると 上下の口唇が 突出しています。
(お顔の写真の使用にはご本人の承諾を頂いています)
歯(歯ならび)の影響です。
空隙を伴う 上顎前突症です。
口もとを下げたいとの事で 上下左右の小臼歯抜歯を行い 前歯を後方に移動させました。
2019年の1月11日にスタートして 、2020年の10月27日に 終 了 しました。
治療期間は22か月でした。
抜歯を行ったことで、上顎の前後的な距離が短くなりました。
この効果で上下の前歯が下がりました。
矯正治療の結果、上下の前歯は 大きく下がりました。
歯ならび が変化したことで、口唇が大きく変化しました。
前歯が下がったことで、上下の口唇がずいぶんと下がりました。
口もと の出っ張り感も 解消されました。
お口が閉じやすくなったそうです。”おとがい”の緊張感が解消しました。
口もとの ”もっさり感” が解消しました。
口もとが 下がり、スッキリとした印象のお顔になりました。
前歯のすき間、ねじれがなくなり、きれいにそろいました!
素敵な笑顔になりました! (#^.^#)
コンプレックスだった 前歯が気にならなくなり、笑えるようになったそうです。
ありがたいことです。
22歳 男性 叢生を伴う 上下顎前突症 治療期間22か月 唇側矯正装置(ホワイトワイヤー)を使用した上下顎第一小臼歯抜歯治療 参考治療費 約67万円(消費税込み73万円) (精密検査から終了まで) 矯正治療に伴う副作用の歯肉退縮、知覚過敏、失活、歯根吸収などは認められませんでした。
投稿日 : 2021年11月03日(水)
カテゴリー : 上顎前突症[出っ歯]
14歳 女性「出っ歯、口もとを 下げたい」( 上顎前突症 )
14歳の 女性です。
「出っ歯、口もとを 下げたい」との事で来院されました。
正面から見ても 前歯が出ているように見えます。
前歯は捻じれて 飛び出しています。
横からみると ずいぶんと 前歯が前に出ています。
歯ならびは縦に長く 形も尖っています。 前歯に段差があるため、とくに前に出ています。
レントゲン写真で見ても 上下の前歯が 前方に傾斜して、押し出されるように並んでいます
このため、上下の口唇が 突出しています。
(お顔の写真の使用にはご本人の承諾を頂いています)
前歯の傾きが 著しいために、口が完全に閉じられません。
口を閉じても 歯が見えてしまいます。
(お顔の写真の使用にはご本人の承諾を頂いています)
”出っ歯”感が 気になって 歯を見せて笑いにくいとの事です。
(お顔の写真の使用にはご本人の承諾を頂いています)
叢生、欠損歯 を伴う 上顎前突症です。
”出っ歯”を治したいとの事で上下左右の 小臼歯抜歯を行い 前歯を後方に移動させました。
2020年の4月20日にスタートして 、2021年の7月27日に 終 了 しました。
治療期間は15 か月でした。
抜歯を行ったことで、上顎の前後的な距離が短くなりました。
この効果で上下の前歯が下がりました。
矯正治療の結果、前歯は 大きく下がり、”出っ歯”の状態は改善しました。
口唇がずいぶんと下がりました。
口もと の出っ張り感も 解消されました。
お口が完全に閉じられるようになりました。
口もとが 下がり、スッキリとした印象になりました。
前歯の段差、著しい傾きによる ”出っ歯感” が 解消しました。
素敵な笑顔になりました! (#^.^#)
ありがたいことです。
14歳 女性 叢生、欠損歯を伴う 上顎前突症 治療期間15か月 唇側矯正装置(ホワイトワイヤー)を使用した上顎第一小臼歯抜歯治療 参考治療費 約67万円(消費税込み73万円) (精密検査から終了まで) 矯正治療に伴う副作用の歯肉退縮、知覚過敏、失活、歯根吸収などは認められませんでした。
投稿日 : 2021年09月19日(日)
カテゴリー : 上顎前突症[出っ歯]
11歳 女性「出っ歯 口もとを 治したい」( 埋伏・上顎前突症 )
11歳の 女性です
「”出っ歯” を治したい、口もとを 下げたい」との事で来院されました。
正面から見ると 前歯がねじれています

前歯のねじれと ”出っ歯”感が気になりますが、、、
それ以外にも気になる点があります。
レントゲン写真(歯科用 CT)を撮ってみると 犬歯の位置異常が見つかりました。
本来の場所からズレて2番目の歯に向かって生えてきています。
方向修正を行う必要があります。
犬歯の 方向が気になりますが・・・
横からみると 上下の前歯が ずいぶんと前に出てしまっています。
レントゲン写真でみても 上下の前歯が前方に傾斜して、押し出されるように並んでいます
このため、上下の口唇が 出ています。
(お顔の写真の使用にはご本人の承諾を頂いています)
正面から見ると、口もとが出ています。上下の唇が前に出ています。
(お顔の写真の使用にはご本人の承諾を頂いています)
このため、不機嫌そうな お顔に見えてしまいます。
口もとの出っ張り感 が気になるそうです。
笑う時に 前歯の重なりが 気になるとの事です
(お顔の写真の使用にはご本人の承諾を頂いています)
犬歯の異所埋伏、叢生を伴う 上顎前突症です
”出っ歯感”と 口もとの 出っ張り感を治したいとの事で
上下左右の 小臼歯抜歯を行い 前歯を後方に移動させました。
2019年の6月1日にスタートして 、2021年の4月10日に 終 了 しました。
治療期間は 22か月でした。
小臼歯抜歯を行い、埋伏している犬歯を正しい位置に誘導しました。
”出っ歯”は すっかりと解消され、上下の前歯が下がりました。
矯正治療の結果、前歯は 大きく下がり、口もとの状態は改善しました。
口唇がずいぶんと下がり、エステティックラインの内側に収まりました
口もと の出っ張り感も 解消され、お口が閉じやすくなったとの事です。
口もとの”もっさり感”が改善し、全体的に”スッキリ”とした口もとになりました。
笑顔の印象も大きく 大きく変わりました
素敵な笑顔になりました! (#^.^#)
ありがたいことです。
11歳 女性 埋伏、叢生を伴う 上顎前突症 治療期間22か月 唇側矯正装置(ホワイトワイヤー)を使用した上下顎第一小臼歯抜歯治療 参考治療費 約68万円 (消費税込み74万円)(精密検査から終了まで) 矯正治療に伴う副作用の歯肉退縮、知覚過敏、失活、歯根吸収などは認められませんでした。
投稿日 : 2021年07月23日(金)
カテゴリー : 上顎前突症[出っ歯]
17歳 女性 「口もとを 下げたい」 空隙、上顎前突症
17歳の 女性です
「 口もとを 下げたい、前歯のすき間を閉じたい 」との事で来院されました。
正面から見ると 前歯のすき間が目立ち、”出っ歯感”が気になります。
歯ならびは 縦に長く、
横からみると 上の前歯が 前に出ています。
レントゲン写真でみても 上下の前歯が前方に傾斜して、押し出されるように並んでいます
このため、上下の口唇が 出ています。
(お顔の写真の使用にはご本人の承諾を頂いています)
正面から見ると、口もとが出ています。
(お顔の写真の使用にはご本人の承諾を頂いています)
このため、不機嫌そうな お顔に見えてしまいます。
口もとの ”もっさり感” が気になるそうです。
また、口もとが 出ているために、お口が 閉じにくいそうです。
前歯のすき間が気になって 笑いにくいとの事です。
(お顔の写真の使用にはご本人の承諾を頂いています)
空隙を伴う 上顎前突症です
口もとの ”もっさり感” と前歯のすき間 を治したいとの事で
上下左右の 小臼歯抜歯を行い 前歯を後方に移動させました。
2019年の11月6日にスタートして 、2021年の3月22日に 終 了 しました。
治療期間は 17か月でした。
前歯のすき間は解消され、上顎の前後的な距離が短くなりました。
この効果で上下の前歯が下がりました。
矯正治療の結果、前歯は 大きく下がり、口もとの状態は改善しました。
口唇がずいぶんと下がり、エステティックラインの内側に収まりました
口もと の出っ張り感も 解消され、お口が閉じやすくなったとの事です。
おとがい(顎)の緊張感が改善しました。
”もっさり感” が解消して、全体的に”スッキリ”とした口もとになりました。
笑顔の印象も大きく 大きく変わりました
素敵な笑顔になりました! (#^.^#)
ありがたいことです。
17歳 女性 空隙を伴う 上顎前突症 治療期間17か月 唇側矯正装置(ホワイトワイヤー)を使用した上下顎第一小臼歯抜歯治療 参考治療費 約67万円 (消費税込み73万円)(精密検査から終了まで) 矯正治療に伴う副作用の歯肉退縮、知覚過敏、失活、歯根吸収などは認められませんでした。
投稿日 : 2021年07月08日(木)
カテゴリー : 上顎前突症[出っ歯]
29歳 女性「 出っ歯 を 治したい 」( 上顎前突症 )
29歳の 女性です。
「 出っ歯 、口もとの出っ張りを治してほしい」との事で来院されました。
”出っ歯”の状態です。 ”八重歯”の状態にもなっています。
正面からみると、前歯が斜めに傾いています。
歯ならびは縦に長く 正中のズレがあります。
横からみると 上の前歯が ずいぶんと前に出てしまっています。
レントゲン写真でみても 上の前歯が 押し出されるように前方に傾斜しています。
このため、上下の口唇が 出ています。下唇のめくれあがりが気になります。
(お顔の写真の使用にはご本人の承諾を頂いています)
正面から見ると、口もとが出ています。 ”八重歯” の影響で唇のふくらみが 非対称です。
口もとの出っ張り感 が気になるそうです。不機嫌そうな お顔に見えてしまいます。
また、口もとが 出っ張って、完全に口をとじることができないため、前歯がいつも見えています。
(お顔の写真の使用にはご本人の承諾を頂いています)
”八重歯”と 前歯のゆがみ、傾きが 気になるそうです。
顔の正中にたいして、前歯が右にズレ 斜めに傾斜しています。
このため、口もとのゆがみが気になるとの事です。
(お顔の写真の使用にはご本人の承諾を頂いています)
叢生、正中偏位をともなう 上顎前突症です
”八重歯”と 口もとの 出っ張り感を治したいとの事で
上下左右の 小臼歯抜歯を行い 前歯を後方に移動させました。
2019年の9月20日にスタートして 、2021年の4月19日に 終 了 しました。
治療期間は 19か月でした。
”八重歯”は すっかりと解消され、上顎の前後的な距離が短くなりました。
この効果で上下の前歯が下がりました。
矯正治療の結果、前歯は 大きく下がり、口もとの状態は改善しました。
口唇がずいぶんと下がりまりました。
口もと の出っ張り感も 解消され、お口が閉じやすくなったとの事です。
おとがい(顎)の緊張感が改善しました。
全体的に”スッキリ”とした口もとになりました。
口がしっかりと閉じられるようになりました。唇も左右対称になりました。
笑顔の印象も大きく 大きく変わりました
素敵な笑顔になりました! (#^.^#)
ありがたいことです。
29歳 女性 叢生を伴う 上顎前突症 治療期間19か月 唇側矯正装置(ホワイトワイヤー)を使用した上下顎第一小臼歯抜歯治療 参考治療費 約67万円 (消費税込み73万円)(精密検査から終了まで) 矯正治療に伴う副作用の歯肉退縮、知覚過敏、失活、歯根吸収などは認められませんでした。
投稿日 : 2021年05月16日(日)
カテゴリー : 上顎前突症[出っ歯]
18歳 女性「出っ歯、口もとを 下げたい」( 上顎前突症 )
18歳の 女性です。
「出っ歯、口もとを 下げたい」との事で来院されました。
正面から見ても 前歯が出ているように見えます。
横からみると ずいぶんと 前歯が前に出ています。
歯ならびは縦に長く 形も尖っています。 前歯に段差があるため、とくに前に出ています。
レントゲン写真で見ても 上下の前歯が 前方に傾斜して、押し出されるように並んでいます
このため、上下の口唇が 突出しています。

(お顔の写真の使用にはご本人の承諾を頂いています)
前歯の傾きが 著しいために、口が完全に閉じられません。
口を閉じても 歯が見えてしまいます。
(お顔の写真の使用にはご本人の承諾を頂いています)
”出っ歯”感が 気になって 歯を見せて笑いにくいとの事です。
(お顔の写真の使用にはご本人の承諾を頂いています)
叢生を伴う 上顎前突症です。
”出っ歯”を治したいとの事で上下左右の 小臼歯抜歯を行い 前歯を後方に移動させました。
2018年の10月3日にスタートして 、2020年の11月2日に 終 了 しました。
治療期間は 25か月でした。
抜歯を行ったことで、上顎の前後的な距離が短くなりました。
この効果で上下の前歯が下がりました。
矯正治療の結果、前歯は 大きく下がり、”出っ歯”の状態は改善しました。
口唇がずいぶんと下がり、エステティックラインの内側に収まりました。
口もと の出っ張り感も 解消されました。
お口が完全に閉じられるようになりました。
前歯の著しい傾きによる ”出っ歯感” が 解消しました。
素敵な笑顔になりました! (#^.^#)
ありがたいことです。
18歳 女性 叢生を伴う 上顎前突症 治療期間25か月 唇側矯正装置(ホワイトワイヤー)を使用した上下顎第一小臼歯抜歯治療 参考治療費 約69万円 (精密検査から終了まで) 矯正治療に伴う副作用の歯肉退縮、知覚過敏、失活、歯根吸収などは認められませんでした。
投稿日 : 2020年11月25日(水)
カテゴリー : 上顎前突症[出っ歯]
26歳 女性「出っ歯、口もとを 下げたい」治療期間16か月( 上顎前突症 )
26歳の 女性です。 「出っ歯、口もとを 下げたい」との事で来院されました。
正面から見ても 前歯が出ているように見えます。
横からみると ずいぶんと 前歯が前に出ています。
歯ならびは縦に長く 形も尖っています。 とくに前歯2本が出ています。
レントゲン写真で見ても 上下の前歯が 前方に傾斜して、押し出されるように並んでいます
このため、上下の口唇が 突出しています。

(お顔の写真の使用にはご本人の承諾を頂いています)
前歯の傾きが 著しいために、口が完全に閉じられません。
口を閉じても 歯が見えてしまいます。
(お顔の写真の使用にはご本人の承諾を頂いています)
”出っ歯”感が 気になって 歯を見せて笑いにくいとの事です。

(お顔の写真の使用にはご本人の承諾を頂いています)
叢生を伴う 上顎前突症です
”出っ歯”を治したいとの事で上下左右の 小臼歯抜歯を行い 前歯を後方に移動させました。
2019年の4月16日にスタートして 、2020年の8月25日に 終 了 しました。
治療期間は 16か月でした。
抜歯を行ったことで、上顎の前後的な距離が短くなりました。
この効果で上下の前歯が下がりました。
矯正治療の結果、前歯は 大きく下がり、”出っ歯”の状態は改善しました。
口唇がずいぶんと下がり、エステティックラインの内側に収まりました。
口もと の出っ張り感も 解消されました。
お口が完全に閉じられるようになりました。
前歯の著しい傾きによる ”出っ歯感” が 解消しました。
素敵な笑顔になりました! (#^.^#)
ありがたいことです。
26歳 女性 叢生を伴う 上下顎前突症 治療期間16か月 唇側矯正装置(ホワイトワイヤー)を使用した上下顎第一小臼歯抜歯治療 参考治療費 約68万円 (精密検査から終了まで) 矯正治療に伴う副作用の歯肉退縮、知覚過敏、失活、歯根吸収などは認められませんでした。
投稿日 : 2020年10月29日(木)
カテゴリー : 上顎前突症[出っ歯]
26歳 女性「出っ歯、口もとを 下げたい」( 上顎前突症 )
26歳の 女性です。
「出っ歯、口もとを 下げたい」との事で来院されました。
正面から見ても 前歯が出ているように見えます。
横からみると ずいぶんと 前歯が前に出ています。
歯ならびは縦に長く 形も尖っています。
レントゲン写真で見ても 上下の前歯が 前方に傾斜して、押し出されるように並んでいます
このため、上下の口唇が 突出しています。
(お顔の写真の使用にはご本人の承諾を頂いています)
前歯の傾きが大きく、”出っ歯”感が強いために
歯を見せて笑いにくいとの事です。
(お顔の写真の使用にはご本人の承諾を頂いています)
叢生を伴う 上顎前突症です
”出っ歯”を治したいとの事で上下左右の 小臼歯抜歯を行い 前歯を後方に移動させました。
2019年の4月16日にスタートして 、2020年の8月25日に 終 了 しました。
治療期間は 16か月でした。
抜歯を行ったことで、上顎の前後的な距離が短くなりました。
この効果で上下の前歯が下がりました。
矯正治療の結果、前歯は 大きく下がり、”出っ歯”の状態は改善しました。
口唇がずいぶんと下がり、エステティックラインの内側に収まりました。
口もと の出っ張り感も 解消され、お口が閉じやすくなったとの事です。
前歯の著しい傾きによる ”出っ歯感” が 解消しました。
素敵な笑顔になりました! (#^.^#)
ありがたいことです。
26歳 女性 叢生を伴う 上下顎前突症 治療期間16か月 唇側矯正装置(ホワイトワイヤー)を使用した上下顎第一小臼歯抜歯治療 参考治療費 約68万円 (精密検査から終了まで) 矯正治療に伴う副作用の歯肉退縮、知覚過敏、失活、歯根吸収などは認められませんでした。
投稿日 : 2020年10月17日(土)
カテゴリー : 上顎前突症[出っ歯]