倉敷市の矯正歯科専門/インビザライン

お電話でお問い合わせください/みやび矯正歯科医院

新着情報

23歳 男性 「 口もとを 下げてほしい」 治療期間 2年1か月(上下顎前突症)

23歳の 男性です。
「 口もとを 下げてほしい 」との事で来院されました。

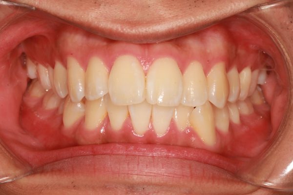
口ゴボ治療前

口もとが出ている方の よくある状態で、歯ならびは そんなに 悪くなさそうですが…

横から見ると

出っ歯治療前

前歯が かなり出ています。 ”出っ歯” の状態です。

口ゴボ治療前

上下の歯は前に傾斜して、顎の骨ごと前に傾斜しています。

なぜでしょう?

口ゴボ治療前

歯の1本、1本が標準のサイズよりも大き過ぎるため、前に押し出されて 歯ならびが通常より 前後に長いです。

この影響で ”出っ歯” になっていています。

このため、口もとが出ていて、あごが 無いように見えます。

口ゴボ治療前

かなり、口が閉じにくいそうで、力を入れないと口を閉じられません

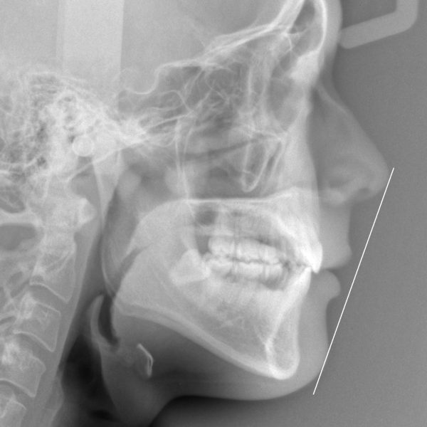
レントゲン写真を見てみると、

口ゴボ治療前

上下の歯が それぞれ前方に大きく傾斜して、前に押し出されています。

E-ラインからも上下口唇が 強く出てしまっています。

横顔を見てみると、

上下口唇が 突出しています。歯によって唇が押し出されている影響です。

口ゴボ治療前

(お顔の写真の使用にはご本人の承諾を頂いています)

あごが 無い状態です。

上下の口唇が前に飛び出しているため、鼻が低く見えてしまいます。

いわゆる ”口ゴボ” の状態ですね。 「口もとを下げて欲しい」との事でした。

正面から見た時の、口もとの出っ張り感も気になります。

口ゴボ治療前

(お顔の写真の使用にはご本人の承諾を頂いています)

口が閉じきれていません。口を閉じても 少し歯が出てしまいます

前歯の傾きが 大きいため、口もと(鼻の下、下唇)が出っ張っています。

「口もとを下げたい、”出っ歯”を 直してほしい」との事でした。

口ゴボ治療前

(お顔の写真の使用にはご本人の承諾を頂いています)

写真よりも実際は前歯が出ている感じがあり、気になって笑いにくいとのことです。

「”出っ歯”も治してほしい」との事です。

口ゴボ治療前

叢生を伴う 上下顎前突症です

口もとの出っ張りと、”出っ歯”を治すために上下顎左右の小臼歯抜歯を行い、前歯を後方に移動させました。

口ゴボ治療中

2022年の9月13日にスタートして 、2024年の10月29日に 終 了 しました。

口ゴボ治療後

治療期間は2年1か月でした。

抜歯を行ったことで、前歯が下がり、上顎の前後的な距離が適正になりました。

口ゴホ治療前後

同じように 下あごも前後的な距離が短くなり、適正な長さになりました。

口ゴホ治療前後

上下の顎が適正な長さになった、この効果で上下の前歯が下がりました。

口ゴホ治療前後

治療前後で前歯の傾斜がかなり改善しました。

レントゲン写真で確認しても上下の前歯は 大きく下がり、

口ゴボ治療後

前に飛び出していた上下の前歯の傾きが正常化しました。

口ゴホ治療前後

上下の口唇が かなり下がりました。

口もとの飛び出した感じもなくなり、鼻の下、下唇の形が整いました。

口ゴボ治療後

上下の口唇が大きく下がり、あごのラインが綺麗になりました。(あごが できました。)

口ゴホ治療前後

口もと の出っ張り感が 解消され、自然に お口が閉じられるように なりました。

口ゴホ治療前後

口もとが上下ともに下がった効果で、鼻が高くなったかのように見えますね。(鼻の高さは変わりません)

”おとがい”の緊張感も解消し、口もとの ”もっさり感” が解消しました。

口ゴボ治療後

自然に口が閉じられるようになり

口ゴホ治療前後

口もと(鼻の下、下唇)の出っ張っている感じが解消しました。

口もとが しっかりと下がり、スッキリとした印象のお顔になりました。

ご本人もたいへんに満足され、喜ばれていました。

口ゴボ治療後

前歯が大きく下がったことで、 ”出っ歯” 感も解消し、

口ゴホ治療前後

素敵な笑顔になりました! (#^.^#) 自信をもって思いっ切り笑ってください。

ありがたいことです。

23歳 男性 叢生を伴う 上下顎前突症 治療期間25か月 唇側矯正装置(ホワイトワイヤー)を使用した上下顎第一小臼歯抜歯治療 参考治療費 約67万円(消費税込み73万円) (精密検査から終了まで) 矯正治療に伴う副作用の歯肉退縮、知覚過敏、失活、歯根吸収などは認められませんでした。


コメントを残す

メールアドレスが公開されることはありません。 * が付いている欄は必須項目です