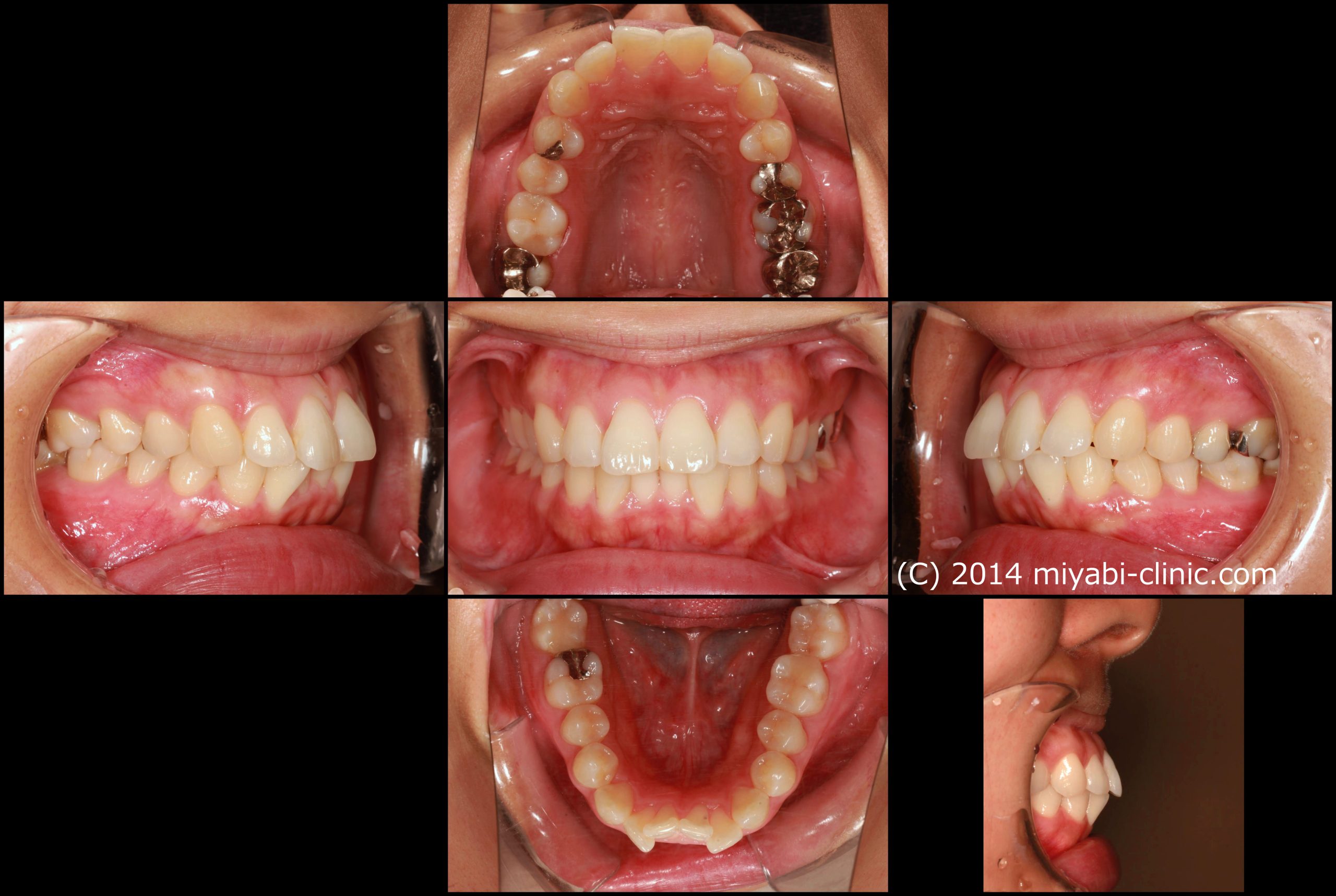
新着情報 1663_口腔_2023年09月16日_165309_B Tweet 投稿日 : 2026年01月15日(木)カテゴリー : コメントを残す コメントをキャンセルメールアドレスが公開されることはありません。 * が付いている欄は必須項目ですコメント 名前 * メール * サイト 30歳 女性 「 ”口ゴボ”を 治してほしい」 治療期間 1年11か月(上下顎前突症) ≫
コメントを残す