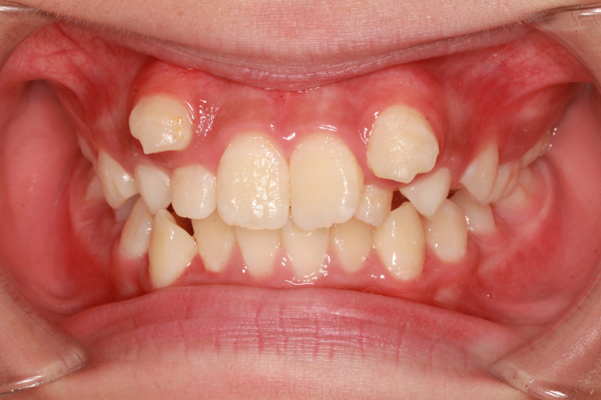
新着情報 1198_20210327_1017_①正面 – コピー Tweet 投稿日 : 2025年11月12日(水)カテゴリー : コメントを残す コメントをキャンセルメールアドレスが公開されることはありません。 * が付いている欄は必須項目ですコメント 名前 * メール * サイト 12歳 女性「”八重歯”を 治して欲しい」2年2か月(上下顎叢生) ≫
コメントを残す