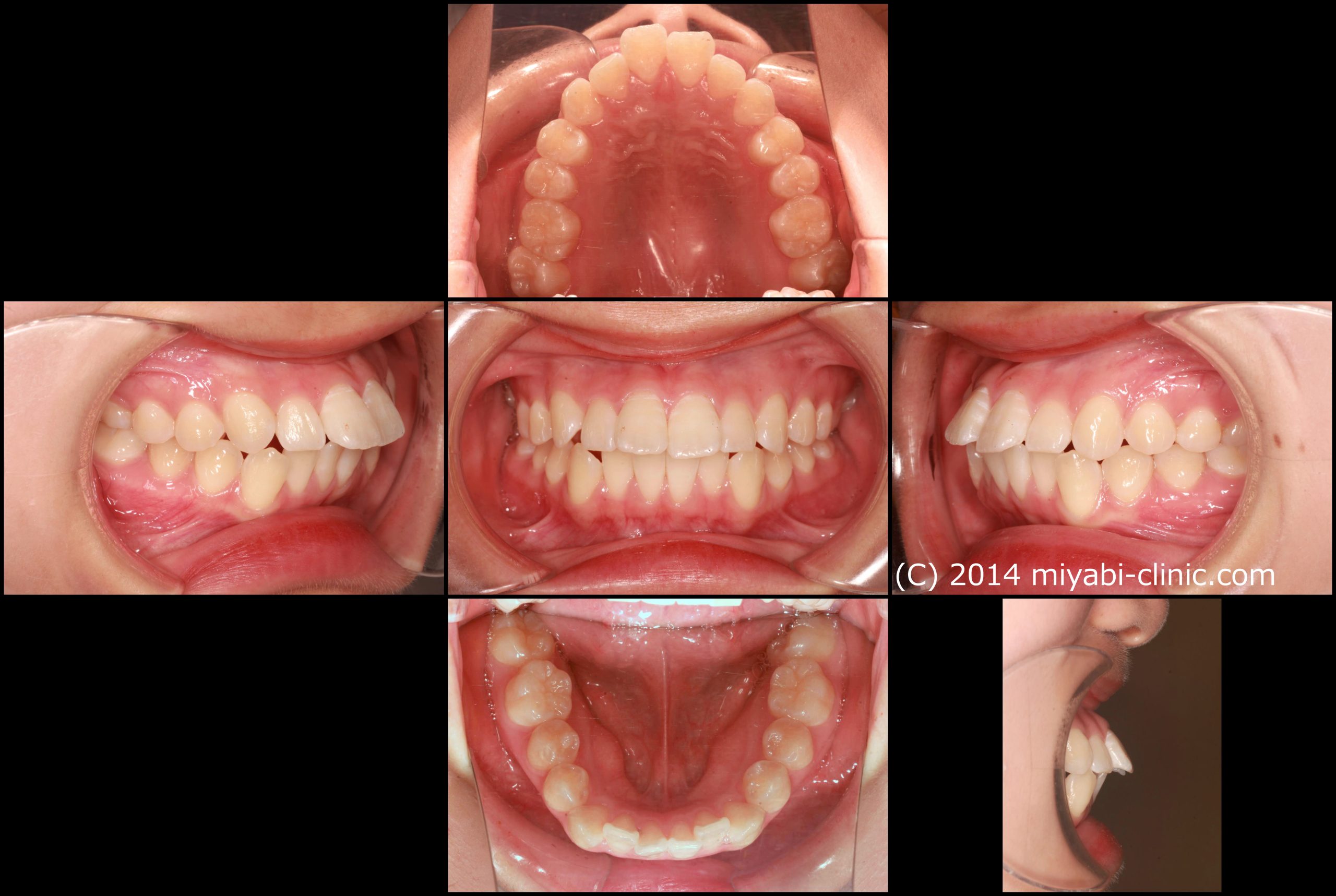
新着情報 1602_口腔_2023年06月07日_111855_B Tweet 投稿日 : 2025年09月04日(木)カテゴリー : コメントを残す コメントをキャンセルメールアドレスが公開されることはありません。 * が付いている欄は必須項目ですコメント 名前 * メール * サイト 22歳 女性 「 出っ歯、口もとを 治してほしい」治療期間22か月(上下顎前突症) ≫
コメントを残す