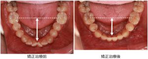
新着情報 1503_20221111_1807_⑤下 – コピー – コピー Tweet 投稿日 : 2025年02月20日(木)カテゴリー : コメントを残す コメントをキャンセルメールアドレスが公開されることはありません。 * が付いている欄は必須項目ですコメント 名前 * メール * サイト 19歳 女性 噛めない!「噛めるように してほしい」口もとを下げてほしい 24か月(開咬症) ≫
コメントを残す