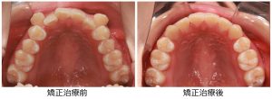
新着情報 1498_20221031_1123_④上 – コピー Tweet 投稿日 : 2024年12月15日(日)カテゴリー : コメントを残す コメントをキャンセルメールアドレスが公開されることはありません。 * が付いている欄は必須項目ですコメント 名前 * メール * サイト 21歳 女性「 八重歯を 治してほしい」治療期間19か月(上下顎叢生) ≫
コメントを残す