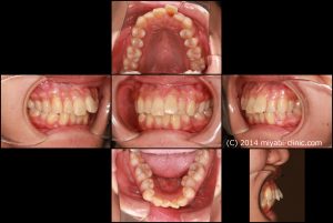
新着情報 1148_口腔_2021年01月19日_100846_B Tweet 投稿日 : 2022年11月02日(水)カテゴリー : コメントを残す コメントをキャンセルメールアドレスが公開されることはありません。 * が付いている欄は必須項目ですコメント 名前 * メール * サイト 30歳 女性「 口もとを 下げてほしい 」18か月( 上顎前突症 ) ≫
コメントを残す