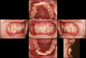
新着情報 1089_口腔_2020年10月06日_181204_B Tweet 投稿日 : 2022年09月09日(金)カテゴリー : コメントを残す コメントをキャンセルメールアドレスが公開されることはありません。 * が付いている欄は必須項目ですコメント 名前 * メール * サイト 26歳 女性「正中のズレ、”八重歯” を治してほしい」20か月( 叢生・過蓋咬合) ≫
コメントを残す