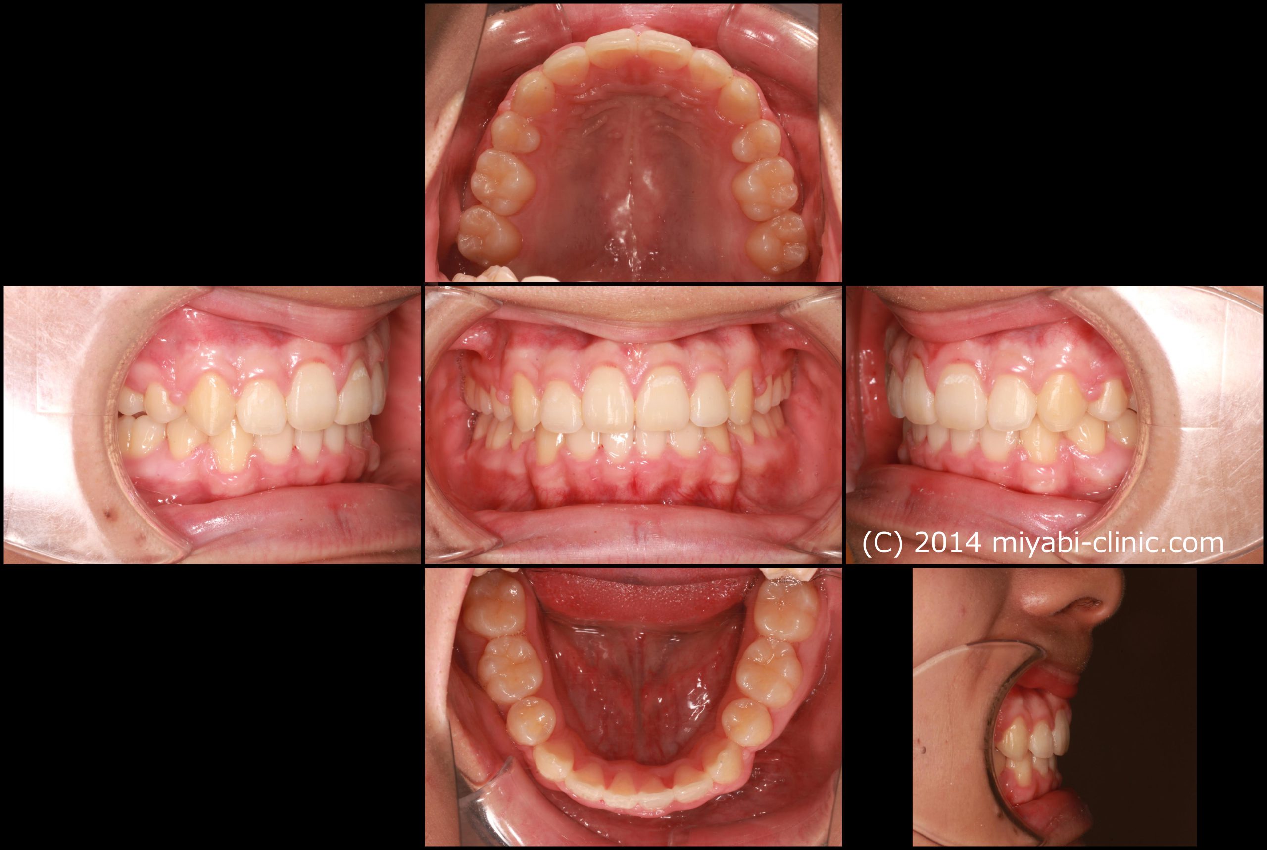
新着情報 1140_口腔_2022年04月11日_114817_B Tweet 投稿日 : 2022年08月14日(日)カテゴリー : コメントを残す コメントをキャンセルメールアドレスが公開されることはありません。 * が付いている欄は必須項目ですコメント 名前 * メール * サイト 20歳 男性「 口もと、”出っ歯”を下げたい 」15か月(上顎前突症) ≫
コメントを残す