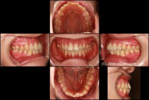
新着情報 780_口腔_2019年06月28日_113034_B Tweet 投稿日 : 2022年06月14日(火)カテゴリー : コメントを残す コメントをキャンセルメールアドレスが公開されることはありません。 * が付いている欄は必須項目ですコメント 名前 * メール * サイト 30歳 女性「 口もと を 下げたい 」( 上下顎前突症 ) ≫
コメントを残す