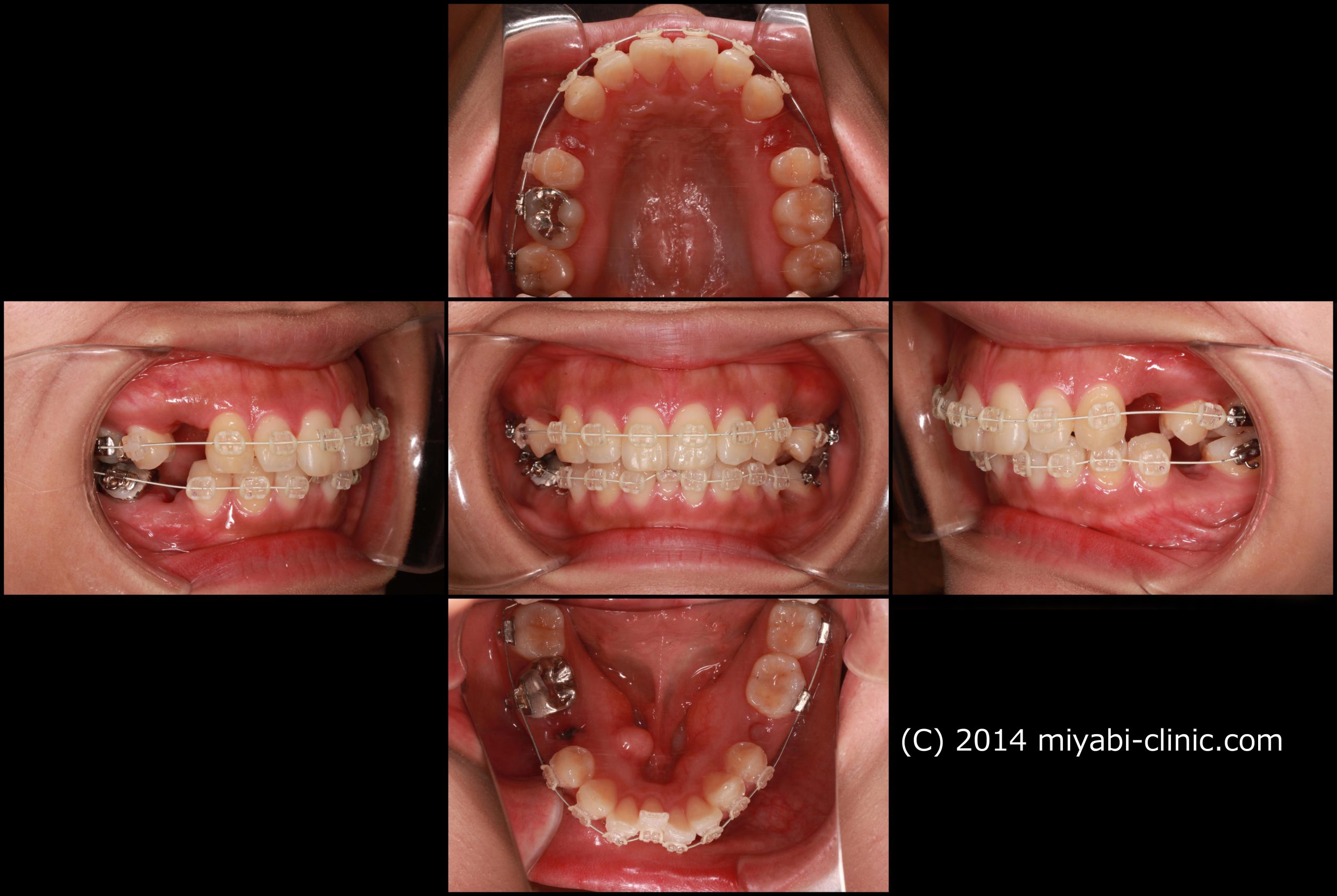
新着情報 979_口腔_2020年06月16日_121342_B Tweet 投稿日 : 2022年02月20日(日)カテゴリー : コメントを残す コメントをキャンセルメールアドレスが公開されることはありません。 * が付いている欄は必須項目ですコメント 名前 * メール * サイト 25歳 女性「 口もとを 下げたい 」( 上下顎前突症 ) ≫
コメントを残す