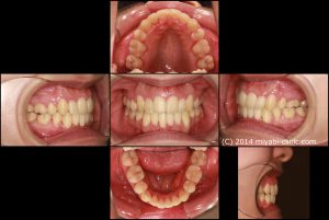
新着情報 864_口腔_2021年11月19日_115730_B Tweet 投稿日 : 2022年02月05日(土)カテゴリー : コメントを残す コメントをキャンセルメールアドレスが公開されることはありません。 * が付いている欄は必須項目ですコメント 名前 * メール * サイト 23歳 女性「 ”出っ歯” を治してほしい」(上顎前突症) ≫
コメントを残す