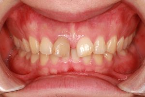
新着情報 654_20181219_1749_①正面 Tweet 投稿日 : 2021年10月29日(金)カテゴリー : コメントを残す コメントをキャンセルメールアドレスが公開されることはありません。 * が付いている欄は必須項目ですコメント 名前 * メール * サイト 22歳 男性「 口もとを下げたい 」( 空隙・上顎前突症 ) ≫
コメントを残す