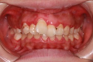
新着情報 958_20200316_1057_①正面 Tweet 投稿日 : 2021年09月18日(土)カテゴリー : コメントを残す コメントをキャンセルメールアドレスが公開されることはありません。 * が付いている欄は必須項目ですコメント 名前 * メール * サイト 14歳 女性「出っ歯、口もとを 下げたい」( 上顎前突症 ) ≫
コメントを残す