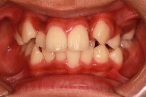
新着情報 600_20180816_1522_①正面 Tweet 投稿日 : 2020年02月13日(木)カテゴリー : コメントを残す コメントをキャンセルメールアドレスが公開されることはありません。 * が付いている欄は必須項目ですコメント 名前 * メール * サイト 12歳 男性 「 八重歯 ガチャガチャ を治したい 」 ( 抜歯症例 ) ≫
コメントを残す