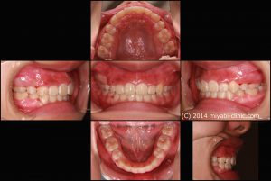
新着情報 521_口腔_2019年11月02日_104653_B Tweet 投稿日 : 2019年11月19日(火)カテゴリー : コメントを残す コメントをキャンセルメールアドレスが公開されることはありません。 * が付いている欄は必須項目ですコメント 名前 * メール * サイト 13歳 女性 「 八重歯 出っ歯を 治したい」 ( 上下顎叢生) ≫
コメントを残す