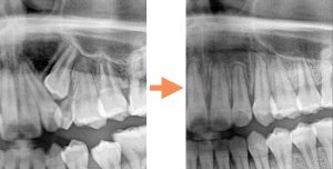
新着情報 502_20180213_1817_① – コピー – コピー Tweet 投稿日 : 2023年01月10日(火)カテゴリー : コメントを残す コメントをキャンセルメールアドレスが公開されることはありません。 * が付いている欄は必須項目ですコメント 名前 * メール * サイト 14歳 女性 「歯ぐき から 歯が出てきた」( 埋伏歯 ・叢生) ≫
コメントを残す