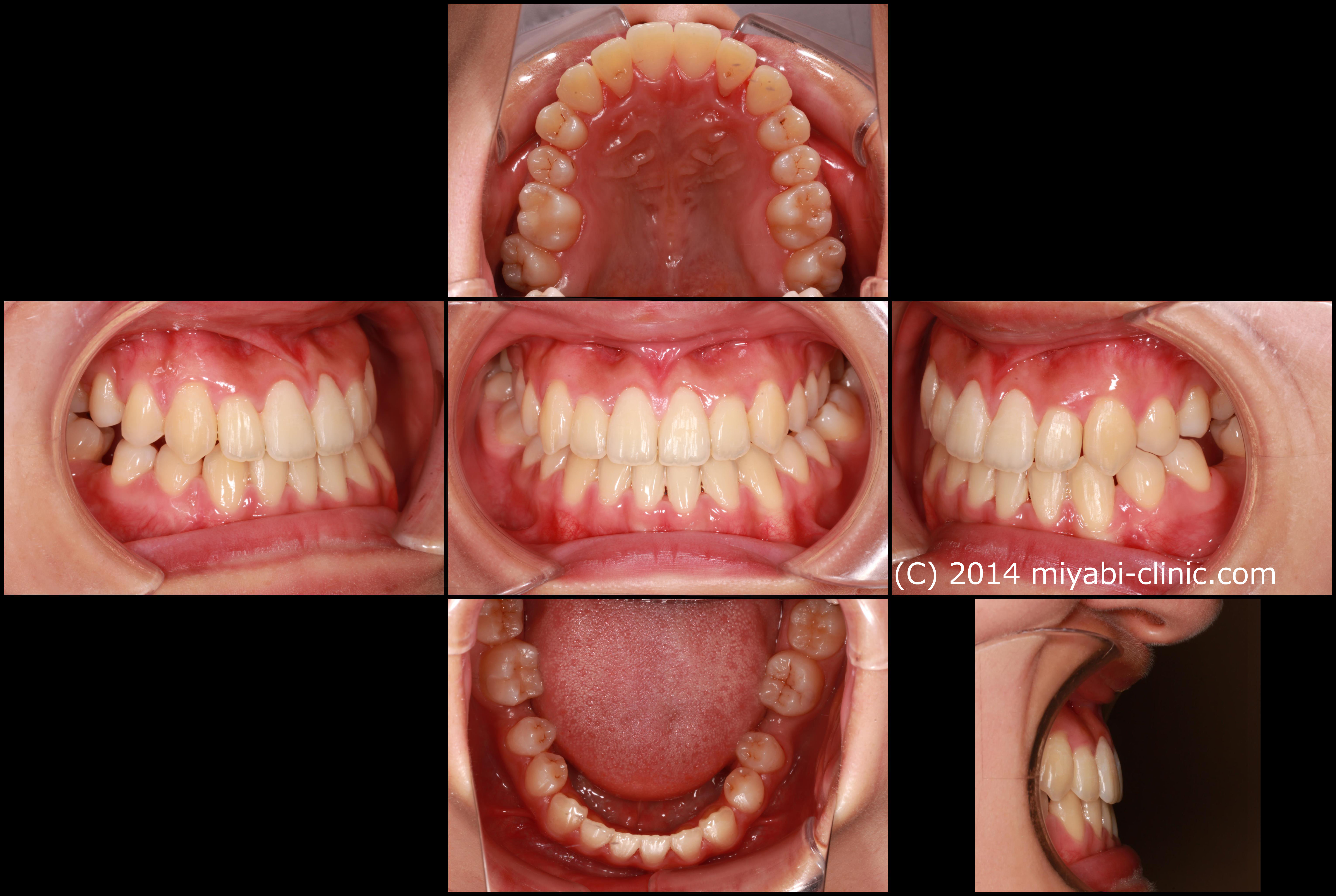
新着情報 88_口腔_2017年09月13日_115119_B Tweet 投稿日 : 2017年10月10日(火)カテゴリー : コメントを残す コメントをキャンセルメールアドレスが公開されることはありません。 * が付いている欄は必須項目ですコメント 名前 * メール * サイト 19歳 女性「手術をしないで 受け口を治したい」( 骨格的な反対咬合 ) ≫
コメントを残す