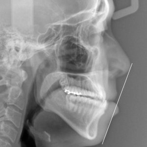
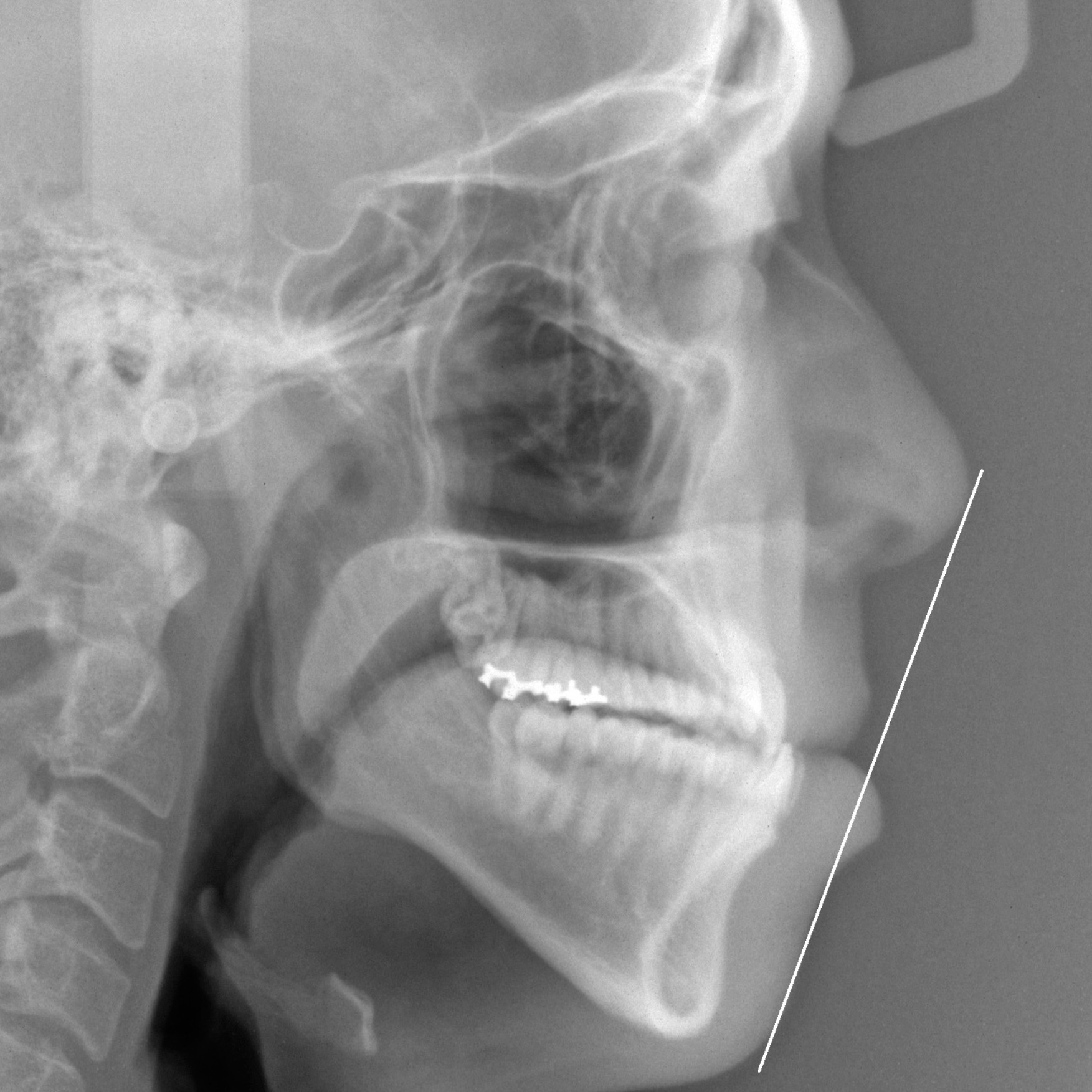
新着情報 150 治療前セファロ側面 – コピー Tweet 投稿日 : 2026年01月06日(火)カテゴリー : コメントを残す コメントをキャンセルメールアドレスが公開されることはありません。 * が付いている欄は必須項目ですコメント 名前 * メール * サイト 26歳 男性 「手術なしで 受け口を 治してほしい」(骨格的な要因を伴う 反対咬合) ≫
コメントを残す