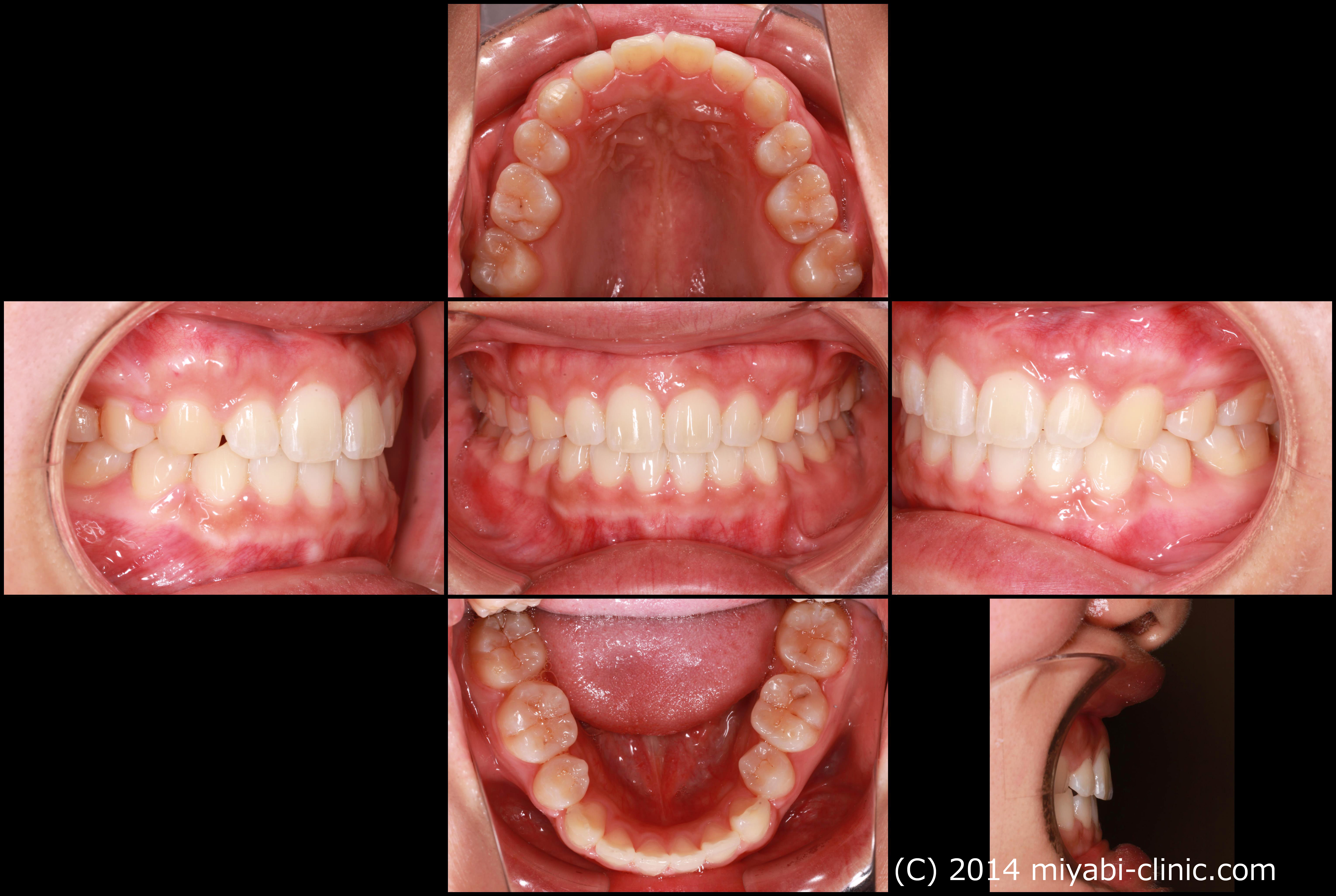
新着情報 170_口腔_2017年06月23日_151714_B Tweet 投稿日 : 2017年07月04日(火)カテゴリー : コメントを残す コメントをキャンセルメールアドレスが公開されることはありません。 * が付いている欄は必須項目ですコメント 名前 * メール * サイト 27歳 女性 「不機嫌に見える口もとを治したい」 ( 上下顎前突症 ) ≫
コメントを残す