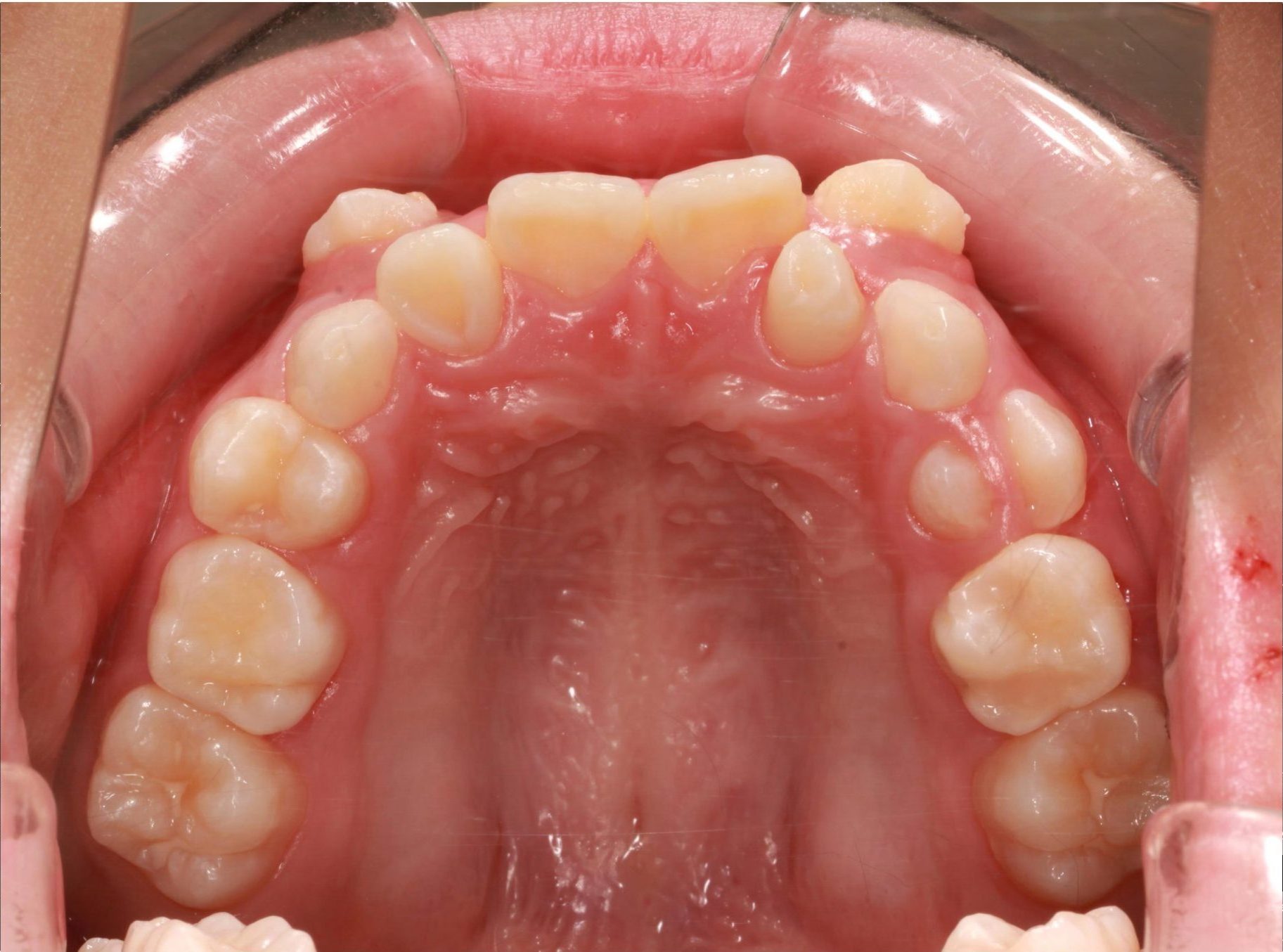
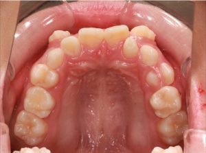
新着情報 1198_20210327_1020_④上 – コピー – コピー – コピー – コピー Tweet 投稿日 : 2025年11月12日(水)カテゴリー : コメントを残す コメントをキャンセルメールアドレスが公開されることはありません。 * が付いている欄は必須項目ですコメント 名前 * メール * サイト 1198_20210327_1020_④上 – コピー – コピー – コピー – コピー ≫
コメントを残す