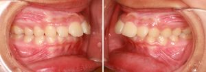
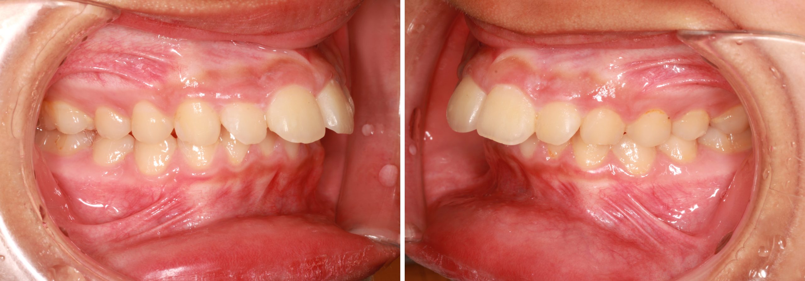
新着情報 1668_20230922_1820_②左 – コピー Tweet 投稿日 : 2025年10月19日(日)カテゴリー : コメントを残す コメントをキャンセルメールアドレスが公開されることはありません。 * が付いている欄は必須項目ですコメント 名前 * メール * サイト 14歳 女性「 出っ歯、口もとを 治してほしい」治療期間21か月(上顎前突症) ≫
コメントを残す